|
段金辉 新乡医学院第一附属医院 一、病史 男性,54岁,双上肢麻木,下肢无力 临床申请:颈椎MRI平扫检查 一看就知道,颈椎病。 天天做。 这个好简单。 心情好的时候,仨Sag一Ax。俩sag一Ax也能解决问题。 二、开始干活 Sag T2 / T2 Flex / T1 FSE 序列分别如下所示: 



很简单。 椎间盘突出。 想看清椎间盘突出,最好用的序列莫过于横断面梯度回波序列T2*WI MERGE(multiecho recalled gradient echo,多回波的梯度回波序列)。与常规T2WI FSE序列相比,其优点在于脑脊液流空伪影很少。所以,脑脊液呈显著高信号,突出的椎间盘呈低信号,二者之间对比差异很大,图像效果杠杠滴。


小编以后也要注意脊柱大保健了(写到此处,小编无意识地活动了一下脖子)。 横断面T2*WI 梯度回波序列还有一个特点,脊髓的小蝴蝶显示比较好。 感觉这个患者小蝴蝶显示很一般啊。 这个垃圾机器。曾经有个教授的课件,小蝴蝶可漂亮了。。。 再翻一遍图像,好像脊髓怪怪的。 
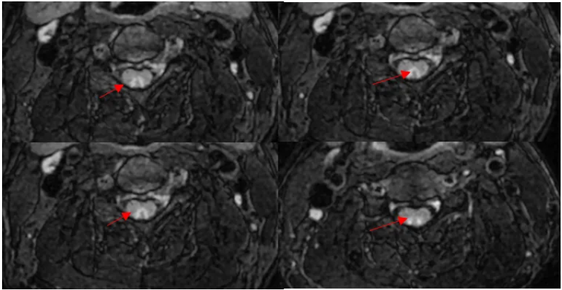
伪影吧。参数有问题。机器好久没有停机保养了。 放病人下来? 赶紧弄下一个, 晚饭约了心仪许久的妹子(帅哥)。。。 三、放患者走,还是继续扫描? 这是一个哲学问题! Ax CUBE T2FLAIR来一个吧。妹子(帅哥)应该不会因为晚到4分钟生气吧。。 



重建效果图: 

五、综合诊断 脊髓亚急性联合变性(SCD) v由于维生素B12的摄入、吸收、结合、转运或代谢障碍导致体内含量不足而引起的中枢和周围神经系统变性的疾病。 v主要累及脊髓后索、侧索及周围神经,影像表现为倒置的“V”。 追问病史,该患者有长期大量饮酒史,胃功能受损
|