|
前言:Deep Learning:让古老的MR焕发新春 一、病史 主诉:心脏术后1年余,活动后胸闷1年。 现病史:缘于入院前1年余因“二尖瓣关闭不全”于外院行“二尖瓣成形”,术顺,术后规律服药,1年前无明显诱因出现胸闷、气促,爬3层楼即出现症状,休息后稍缓解,无胸痛、心悸,无端坐呼吸、咳粉红色泡沫样痰、无夜间阵发性呼吸困难,无腹胀、眼黄、尿黄、肢体浮肿,无畏冷、发热、无黑膘、晕厥,无食欲减退、消瘦,就诊外院完善相关检查后诊断“心力衰竭”,予诺欣妥、信他乐克、螺内酯、达格列净等药物治疗,上述症状仍反复发作,今为进一步治疗就诊我院查心脏彩超:二尖瓣成形术后;二尖瓣轻度返流,左室收缩功能重度减退,EF:28.9%,为进一步诊治,门诊拟“心力衰竭”收治入院。自发病以来,精神、食欲、睡眠尚可,二便正常, 体重无明显改变。 既往史:平素体质一般,否认“高血压、糖尿病、冠心病”等慢性病史,否认肝炎、结核、菌痢、伤寒等传染病史,否认其他手术、输血、外伤史,否认过敏史,预防接种按时完成。 个人史:生于原籍,否认长期外地居住史,否认疫区居留史,否认特殊化学品及放射线接触 史。否认吸烟、饮酒史。 婚育史:已婚未育,配偶体健。 家族史:否认家族中类似疾病史。否认家族中“血友病”等遗传性疾病史及"糖尿病、恶性肿瘤”等遗传倾向性疾病史。否认家族中´病毒性肝炎、结核病、伤寒、痢疾”等传染病史 男性,年龄30+。心衰查因。
二:临床申请单:心脏MR平扫加增强 2.1 心脏电影成像FIESTA Cine

4CH FIESTA Cine目测还好,问题不大。 


SA FIESTA Cine:左心室下侧壁非常薄,和一张纸糊的一样。此处毗邻胃,会不会是胃内气体导致的磁敏感伪影? 
使用Cine图像进行心功能分析,LVEF = 43%。低于正常值50 ~70%。然并卵,B超不能测量心功能么?2.2 脂肪抑制黑血DIR FSE 
电影序列提示壁薄处,心肌厚度明显变薄,且其中混杂低信号。什么原因导致,出血成分,脂肪沉积,纤维成分?心室内混杂血流信号,这符合患者心衰症状;心衰患者,心室内的血液流动性变差,类似于附壁的慢血流,慢血流相当于静止的水,所以T2fs呈高信号。2.3 心肌T1 MAPPING 
正常心肌:1231ms,病变心肌:1310ms。略有升高。且进一步提示下壁和下侧壁壁薄。2.4 心肌延迟强化(PSMDE) 
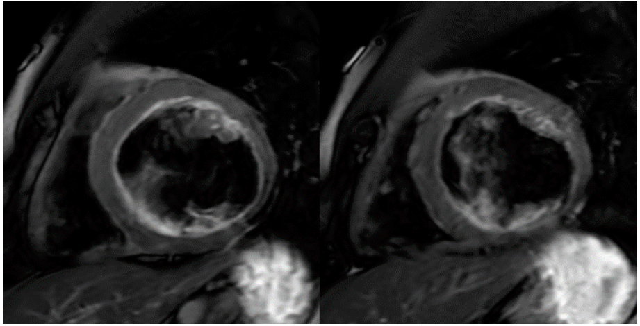
SA PSMDE(常规傅里叶变换重建)进一步提示下间隔壁,下壁,下侧壁延迟强化,范围超过心肌厚度的50%,提示患者透壁性心肌梗死。这时候,有必要结合病史,理性反推求医过程: 主诉:心脏术后1年余,活动后胸闷1年。 现病史:缘于入院前1年余因“二尖瓣关闭不全”于外院行“二尖瓣成形”,术顺,术后规律服药,1年前无明显诱因出现胸闷、气促,爬3层楼即出现症状,休息后稍缓解,无胸痛、心悸,无端坐呼吸、咳粉红色泡沫样痰、无夜间阵发性呼吸困难,无腹胀、眼黄、尿黄、肢体浮肿,无畏冷、发热、无黑膘、晕厥,无食欲减退、消瘦,就诊外院完善相关检查后诊断“心力衰竭”,予诺欣妥、信他乐克、螺内酯、达格列净等药物治疗,上述症状仍反复发作,今为进一步治疗就诊我院查心脏彩超:二尖瓣成形术后;二尖瓣轻度返流,左室收缩功能重度减退,EF:28.9%,为进一步诊治,门诊拟“心力衰竭”收治入院。自发病以来,精神、食欲、睡眠尚可,二便正常, 体重无明显改变。 既往史:平素体质一般,否认“高血压、糖尿病、冠心病”等慢性病史,否认肝炎、结核、菌痢、伤寒等传染病史,否认其他手术、输血、外伤史,否认过敏史,预防接种按时完成。 个人史:生于原籍,否认长期外地居住史,否认疫区居留史,否认特殊化学品及放射线接触 史。否认吸烟、饮酒史。 婚育史:已婚未育,配偶体健。 家族史:否认家族中类似疾病史。否认家族中“血友病”等遗传性疾病史及"糖尿病、恶性肿瘤”等遗传倾向性疾病史。否认家族中´病毒性肝炎、结核病、伤寒、痢疾”等传染病史 (1)一年前,心衰症状出现:无明显诱因,爬三层楼出现胸闷气促; 意味着一年前,可能的诊断是二尖瓣关闭不全导致心衰。所以治疗手段是二尖瓣成形术,术后规律服药。 面临的困境是目前活动后胸闷。B超提示LVEF = 28.9%。本次MR检查提示LVEF = 43%。本次MR检查提示患者下侧壁、下壁和下间隔壁透壁性心肌梗死,黑血DIR FSE提示心肌无水肿,所以这大概率是一个陈旧性的心肌梗死。2.5 PSMDE基于deep learning recon的重建 
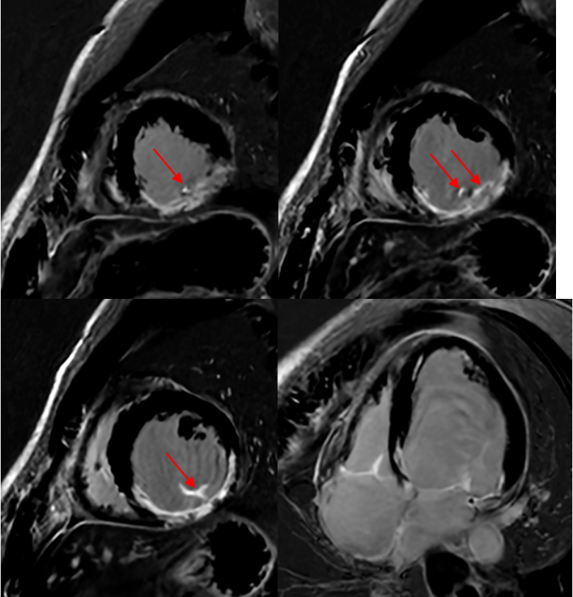
SA 和 4CH PSMDE(DL Recon)提示患者下侧壁、下壁和下间隔壁透壁性心肌梗死;除此之外,乳头肌出现显著的延迟强化,这应该提示乳头肌梗死。 至此,我们再大胆地复原一下该患者的病变过程: (1)一年前心衰症状出现;(2)病因为左心室下侧壁、下壁和下间隔壁透壁性心肌梗死,提示责任血管为LCX和RCA;(3)乳头肌梗死,导致二尖瓣关闭不全。 孙斌主任点评: 传统MR在信号采集过程中,无法区分真实的信号和噪声。所以,为了提升SNR和CNR,往往用最笨的方法:多NEX堆。费时费力,患者体验差,医院流通量上不去。DL打破传统傅里叶变换重建的魔咒,在原始数据空间进行噪声分离,只保留最纯真的MR信号。不但可以大幅提升SNR,还可以有效增强CNR,让微小病变和正常组织之间的差异最大化,为诊断提供最有效的助力。
|
共 1 个关于论MR. 王牌医生的自我修养(第六期)之Deep Learning:让古老的MR焕发新春,每天更新的回复 最后回复于 2025-02-05 09:00:18