|
1, 为什么要做冠脉 原因很简单。经过四十年的不懈奋斗,我国居民生活水平基本上达到欧美标准;随之而来的是,心脑血管疾病发病率飙升。我们迫切需要一种可以快速准确的冠脉成像手段,比如超声或CT。超声具有以下特点:快速、简便、无电离辐射和物美价廉;缺点在于精度不够。CT完美弥补了超声的缺点,且同样具有简单快速的优点,缺点在于电离辐射和碘过敏。磁共振冠脉成像好处是无电离辐射,其余应该都是缺点:时效性差,需要患者极好的配合,支架术后磁敏感伪影重,诊断效能存疑等。 再看几个场景:急诊怀疑急性心肌梗死的患者,心梗支架治疗术后复查的患者,这些特别需要冠脉成像的时间点,磁共振都无法满足需求。前者,患者往往无法配合,且成像时间长,无法满足时间就是心脏的第一且务实任务;后者,由于支架的磁敏感效应,导致诊断效能存疑。有些人说,体检啊。现实是,大多数进行磁共振冠脉成像的影像中心,一般还是需要结合CTA方能明确诊断;这无形中给社会和患者家庭带来更多负担。 科研角度又如何?2003年左右,《中华放射学杂志》就刊登了程流泉教授的磁共振冠脉成像的文章,详细描述了方法、序列、参数和扫描技巧等。此后,无论国内还是国外,都陆续有专家学者做过小批量尝试性工作。奈何CT发展迅速,心率不限制,心律无所谓,呼吸自由...... 2, 成像原理 
静心想一下,影响冠脉成像的因素有哪些? 其实很简单,无非心跳运动、呼吸运动以及血液亮度。 第一,为了冻结心跳运动带来的影响,使用心电门控触发扫描,尽可能在心脏静止不动的时刻采集数据。所以,参数界面有个trigger delay设置。老版本的机器需要测算具体trigger delay,但是新机器有更智能的AI算法,能够自动识别准确的trigger delay。 第二,呼吸运动。基本上市面上的厂家都会使用膈肌导航(navigator),在呼气末采样,从而达到运动伪影最小化的目的。有些厂家为了控制呼吸幅度,甚至会鼓励医生使用腹带;如此,可以增加采样效率,降低整体扫描时间。 第三:对比度提升。简言之,血液更亮,背景更黑。为了提升血液信号,通常使用3D FIESTA类序列(Balanced SSFP,1.5T)或3D FSPGR(需要注射造影剂,3.0T),以及T2 prep增加T2对比度。众所周知,FIESTA类序列有三种组织呈高信号:水,血和脂肪。心包周围往往有脂肪垫,所以在FIESTA成像之前,需要施加多个压脂脉冲:多个不同时刻的SPIR(20ms)和SAT(15ms)。这是因为脂肪是多峰分布,所以施加多个绝热翻转抑制脉冲(SPIR),配合CHESS法(SAT)进行心包脂肪抑制。最大的问题在于,如果患者有心包积液,这种基于FIESTA的序列,就没办法得到很好地成像了。
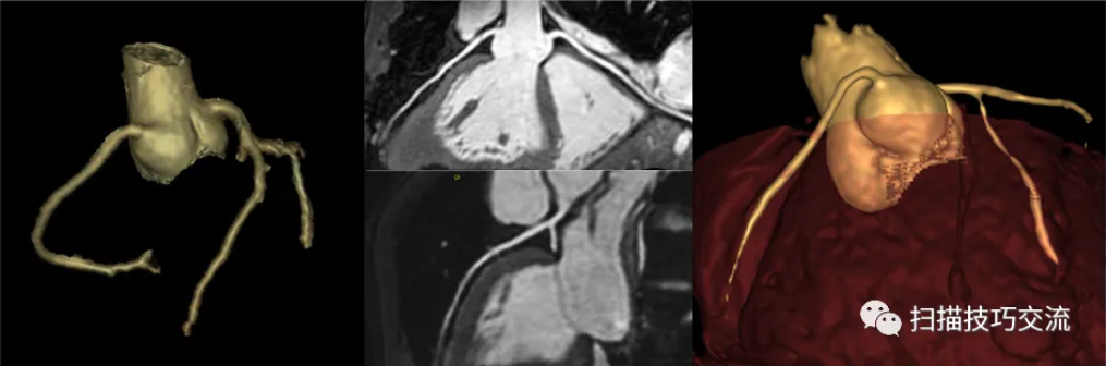
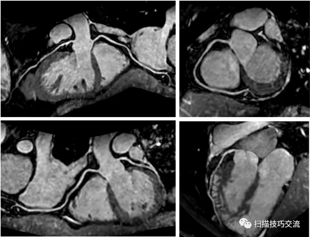
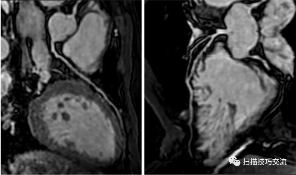
3,成像效果


图像来自浙江大学第一附属医院,非常感谢汪启东教授商德胜教授提供图像。 
图像来自上海平安融胜医学影像诊断中心,非常感谢钱莹教授提供图像。
|