|
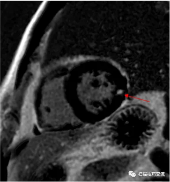
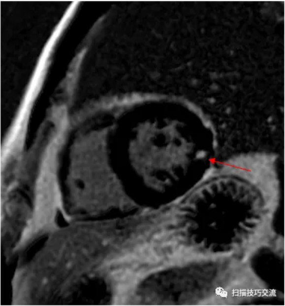
来看一例心脏LGE, 如果说,这个病例是心肌梗死 
有多少大牛会跳起来? 老师教给我们的 心肌梗死 是这样的 
心肌中段:前壁和下壁的心内膜下的梗死(红箭),前间隔壁透壁性梗死(绿箭) 因为, 所有业内大牛都说, 
最开始,心内膜下强化出现, 因为冠脉垂直插入心肌, 且在舒张期供血, 所以,心梗最先发起点都是心内膜下, 如果得不到及时救治 会蔓延到心肌全层 
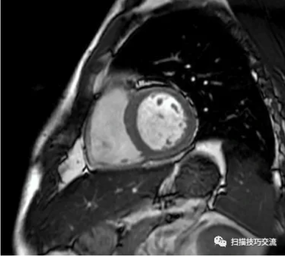
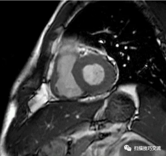
有人说,会不会是脂肪 
FIESTA电影,收缩期末 
FIESTA电影,舒张期末 相同位置,并未发现脂肪高亮信号。 补充病史: 一、 CTA提示:LCX中段90%狭窄。 这与磁共振的MDE序列相吻合。 
二、DSA治疗: 
三、中年男性,14小时前饮酒后突发胸闷痛,部位位于胸前区,呈压榨性,持续不缓解,无颈部及肩背部放射痛。 心电图提示V1~V3导联ST段压低, 心梗三项:肌钙蛋白0.275ng/ml升高。考虑急性冠脉综合征。 小编点评: 如果患者都按照书本讲的方式,生病,那该多好啊。
|