|
宋修峰 臧宇坤 张琦 秦凯 青岛大学附属妇女儿童医院 前言: 小编最近看了让小编泪崩的帖子(附在文末),来自北京协和医院。 节选一: 小曼看过当地多家医院,还去了省城的大医院,但都被告知已经无法手术,他们让小曼到北京的协和医院看看还有没有办法。 自豪的同时,我心底涌起一丝苦笑。这是大家对北京协和医院的认可,院领导也“敲打”我们,既然患者把协和当作生命相托的最后一站,我们就要不负重托。具体到小曼身上,就转化为:我没有理由推她到其他地方看看了。 节选二: 这是我再次正式和小曼及其亲属谈话。等所有流程结束之后,我做了两点补充。第一,经过如此多的术前准备和如此正式的谈话,说明小曼的病情很重,我们很重视,会竭尽全力。第二,谈话只是知情同意的必要程序,不是免责声明。如果治疗结果不如所愿,我支持你们走法律程序,但有两个词请不要出现在起诉书中:一个是草菅人命,另一个是不负责任。可以起诉我技术不到位,或者医术不高。 说最后这段话的时候,我有一种莫名的悲壮感。 小曼和家属显然被我的严肃或者悲壮感染了。为了缓和气氛,我最后说:“虽然手术风险的确很高,但是我这人运气不错,相信小曼运气也不错,一起努力!” 一、癫痫查因 病史如下,男孩,4岁;EB病毒感染后,频繁癫痫发作: 

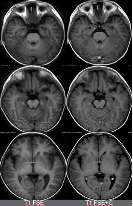
这是一个可长可长的病例。 二、MR检查 20210629,第一次磁共振平扫检查,未见异常。 


MR三把利器:平扫,增强,结合临床。难道这个病例最后也是结合临床?20210707,第三次MR检查;3D ASL提示,双侧额叶灌注增加

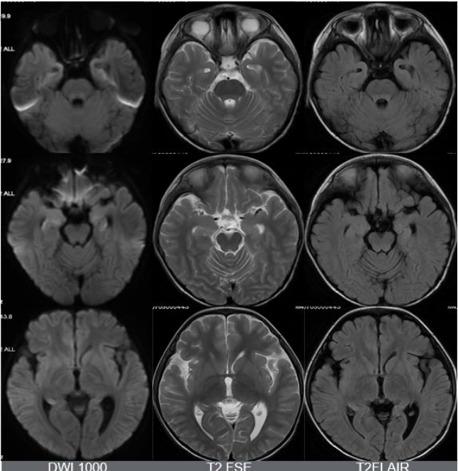
 MUSE DWI 1000,168 × 264,提示双侧额叶皮层弥散受限。
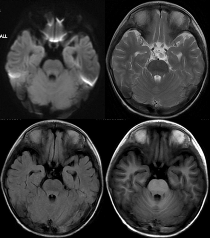
除此之外,海马的信号怪怪的,是什么?所以,我们加扫海马矢状位小视野弥散。
 •Sag FOCUS DWI 1000,FOV = 22 × 8.8cm,2.0 / 0.0 mm
海马最外层呈弥散受限表现,但是总感觉雾里看花,并不清晰。我们还能做什么?


 MRS一如既往地稳定,好像什么都说了,又好像什么都没说。
将额叶波谱原始数据导出,使用Lc-Model 软件进行定量分析,结果如下:

 患儿Glx明显升高。在正常情况下,谷氨酸会参与神经细胞间的信号传递,但大量的谷氨酸堆积会改变涉及计划和决策的脑区——外侧前额叶皮层(lPFC)的性能。
抗NMDAR脑炎(Anti-NMDAReceptor Encephalitis)
- 2005年,Vitaliani等首次报道,并在患者的血清和脑脊液中发现不明抗原,主要表达在海马神经元细胞膜上
- 2007年,Dalmau等发现表达在海马和前额叶神经细胞的抗体为NMDAR抗体,首次命名了抗NMDAR脑炎
- 癫痫发作导致兴奋性氨基酸(Glu)升高,Glu有毒性作用,导致弥散受限表现。胶质细胞对Glu进行解毒,降解为无毒性作用的谷氨酰胺(Gln)。由于Glu和Gln主体分子结构相同,所以MRS并不能严格区分二者,统称为Glx。
你还记得刚毕业时,那个意气风发,指点江山,快意恩仇的少年少女吗? 是什么磨灭了激情,勇气,锐意进取,上下求索的好奇心?
相关资料链接:1,关鸿志等关于抗N-甲基-D-天冬氨酸受体(NMDAR)脑炎的北京协和队列研究发表于Q1杂志
https://zhuanlan.zhihu.com/p/342620011?utm_medium=social&utm_oi=1132925782414311424&utm_psn=1614220052969783297&utm_source=wechat_session
|