|
余留森 广东省中山市人民医院南朗分院 病史:女,72岁,上腹部疼痛2天 一、早晨8点,超声检查 
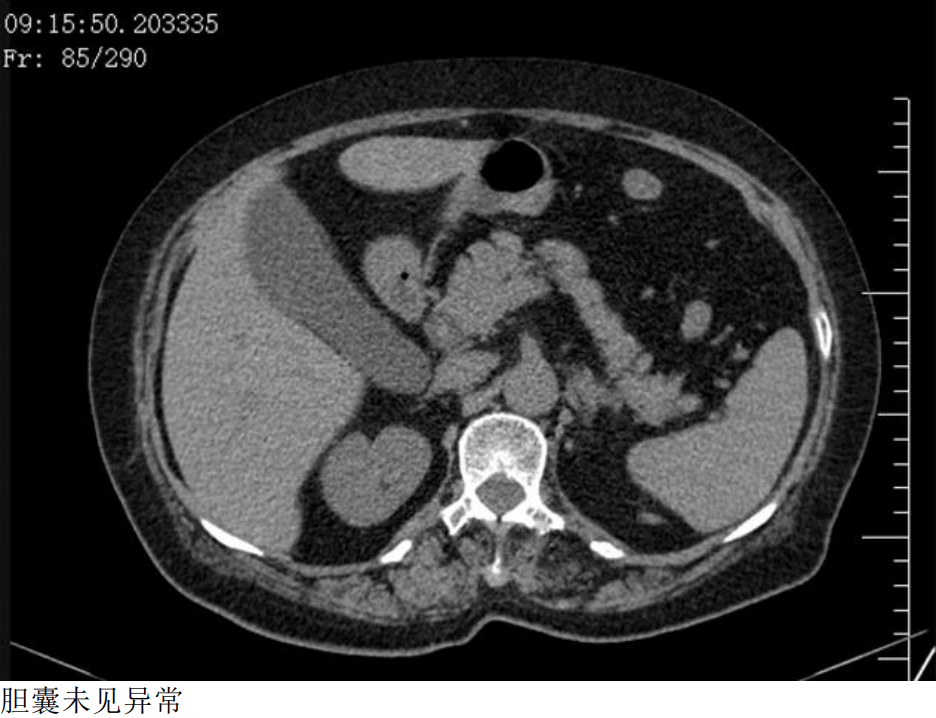
二、早上9:15,CT平扫 
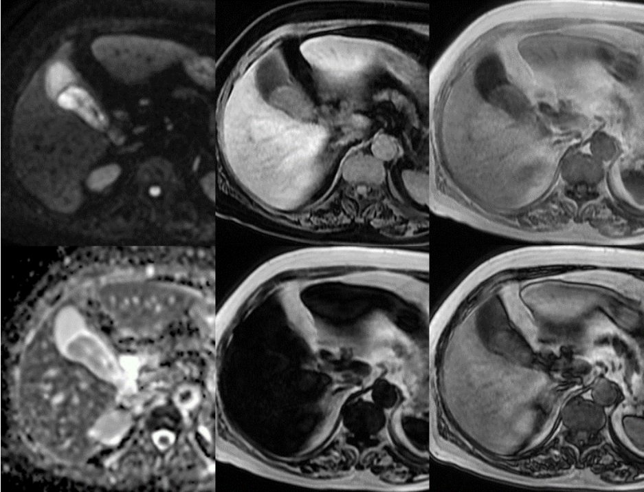
三、早上9:45,MR平扫 横断面脂肪抑制T2WI,胆囊内巨大等高信号影,占位性病变不除外。
冠状面T2WI 脂肪抑制 & 非脂肪抑制,貌似脂肪抑制前后,胆囊内病变无信号变化。

DWI胆囊内病变呈高信号,ADC值下降,提示弥散受限。 LAVA-FLEX四像图:水像病变呈等低信号,脂肪像低信号,同反相位未见显著信号改变,提示病变不含大量脂肪成分。 小朋友,你是否也有很多问号? 超声,CT都提示胆囊未见异常。 MR发现胆囊里面这么大一坨东西。 它是什么,它来自哪里,它会去向何方? 没有伪影的MR是不正常的,机器问题,参数问题? 四、晚上18点,超声复查 
五:胆泥 胆泥是胆汁中的为微观沉淀物,由黏蛋白、胆固醇晶体、胆红素钙盐和其他钙盐组成,可随体位变化移动,超声胆泥后方无明显声影。 
|