|


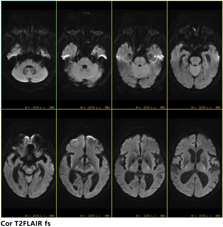
不出意料,看不见啥。 来点科技与狠活:Ax DWI b1000 书接上一期,有网友回复,DWI要额外收费。小编也在医院工作过5年,当年也和诊断老师讨论过DWI收费的问题。很多时候,一旦收费,临床医生可能漏开,更有可能为了减轻患者负担不开。DWI对于急性脑梗死的意义,无需赘述。而且只需要十几秒就可以完成颅脑DWI扫描,并不会显著影响扫描效率。所以,笔者当年的医院,所有颅脑扫描都含DWI。所谓我为人人,人人为我。 


三、还能怎样? 
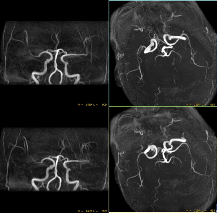
1分半快速TOF MRA两侧血管基本对称 扫描结束,放病人走? 但是患者突发失语症状,如果这么回去,临床如何治疗呢? 想到扫描更薄层图像看下,由于病人有些躁动需要快速扫描,于是扫描了快速薄层CUBE T2FLAIR,Voxel size = 1X1X1mm; 三维加速技术2X2X2,8倍加速,扫描时间2分半钟: 
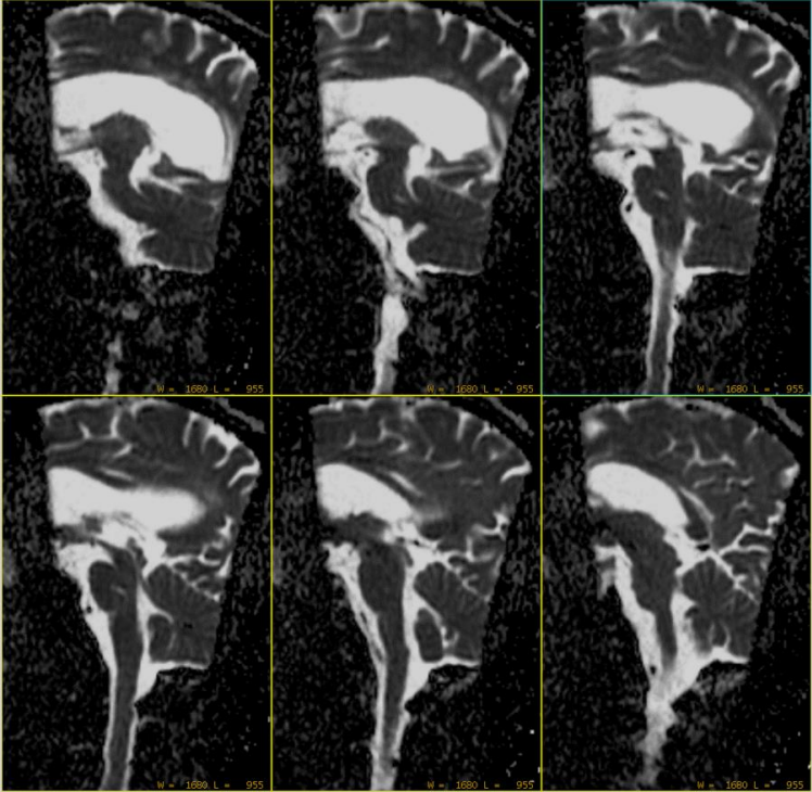
可见中脑位置似乎有异常稍高信号灶。但是患者开始出现运动。此时留给技术组老师的时间已经不多了。 然而,经过简单有效沟通后(扯着嗓子喊了一声:别动),扫描继续。 Sag DWI b=1000s/mm2,层厚3mm,0间隔扫描,扫描时间36秒: 



随着b值升高,中脑病灶信号增高,ADC亦见明显低信号 大海捞针最终找到了病灶。 临床不再因MRI未见异常而不知如何是好。 四、常规AX DWI为什么难以发现脑干梗死 最近几年,陆陆续续有几篇SCI文章提示,AX DWI难以发现脑干梗死,必要时建议增加SAG 或者COR DWI,甚至使用更高b值,便于发现更隐匿的梗死病灶。
回顾本病例,AX DWI定位线如下:
 
|