|
病例资料:女性,51岁,食欲下降5个月,上腹不适3个月。 扫描参数 模式:GSI -22 375mA@0.7sec/rot@DC40mm@SFOV Body Large 螺距:0.984:1 造影剂注射方案: 300mgI/100ml@70ml@4ml/sec Smartprep 能谱CT成像及病例分析: 
碘基图像对肝脏结节的血供显示更敏感,碘基图上我们可以看到更多、清晰的小病灶。 
分别测量并计算正常肝脏及病灶在动脉期及门脉期的肝动脉碘分数(注1)及门脉碘含量(注2),结果见下表。 
注: 1. 肝动脉碘分数AIF(Arterial Iodine Fraction)=碘含量(动脉期)/碘含量(门静脉期) 2. 门静脉碘含量PVIC(Portal Venous Iodine Concentration)=碘含量(门静脉期)- 碘含量(动脉期) 门静脉癌栓的显示: 
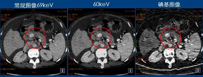
门静脉显示在60Kev对比度更高,碘基图对含碘的结构显示非常敏感 

CT诊断:考虑原发性肝癌(弥漫结节型),门静脉主干癌栓形成。 小结:肝脏具有肝动脉和门静脉双重血供特点,肝硬化时由于门脉压力升高,导致门脉血供减少,为保证肝脏的营养肝动脉供血相对增加即肝动脉缓冲效应(hepatic arterial buffer response,HABR),以致肝脏的双重血供比例失调。能谱CT可以实现物质分离功能,能够直接测量肝脏增强扫描各期肝实质的碘含量,并可计算出肝动脉碘分数(arterial iodine fraction,AIF& #41; 与门静脉碘含量(portal venous iodine concentration ,PVIC & #41; .本例通过肝脏病变血供情况的定量分析 ,提供更多诊断信息。 致谢:番禺中心医院
|
共 1 个关于能谱成像在肝脏病变的临床应用,每天更新的回复 最后回复于 2021-10-14 20:43:29