|
病例资料:
男,60岁,剧烈阵咳5月余,暗红色血痰2月余;外院CT“右上肺占位并纵隔淋巴结肿大”,“纵隔淋巴结活检提示腺癌,右肺上叶尖段支气管灌洗液见核异质细胞,高度癌疑”。 
扫描方法:
能谱平扫及两期增强扫描。病理已提示右上肺癌纵隔淋巴结转移;上腔静脉病灶为癌栓?血栓?左甲状腺病灶为转移?原发病灶? 
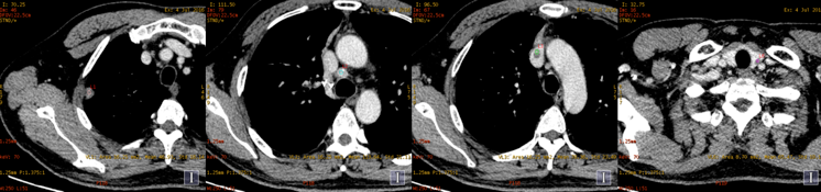
常规图像及碘基图均显示上腔静脉病灶明显强化。

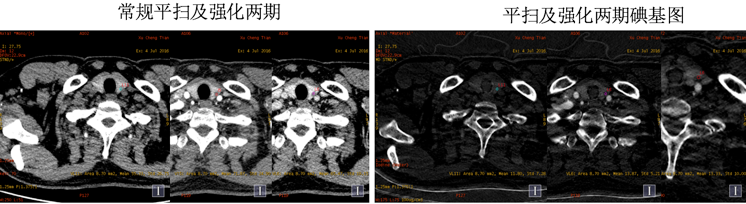
常规图像及碘基图显示病灶轻度强化。 能谱曲线: 
右肺、上腔静脉及纵隔淋巴结病灶曲线斜率基本一致,而左甲状腺病灶能谱曲线与其明显不一致,综合CT平扫及强化各期特点以及病理结果,上腔静脉病灶考虑癌栓;左甲状腺病灶考虑甲状腺腺瘤(非转移病灶)可能大。 小结:
由于常规CT是有一组X射线光束所组成的混合能量成像,所产生的硬化伪影容易造成CT值得偏移或不准确,因此有时难以明确病灶性质是否强化,以及强化程度;而能谱CT成像通过碘水物质分离可以产生碘基物质密度图像,通过增强期强化碘基图上的碘汇聚能力,可以敏感的识别病灶含碘对比剂的浓度变化,从而提供病灶有无强化的准确信息。 能谱CT成像可以显示不同病变和人体组织随X线能量水平(keV)变化而变化的X射线衰减系数(HU),从而产生反映不同病变和人体组织特征性的能谱曲线。根据能谱曲线的形态、斜率可以帮助判断病灶的来源、性质。
备注:该病例来自厦门市二院。
|