论坛 病例 CT

病例资料:

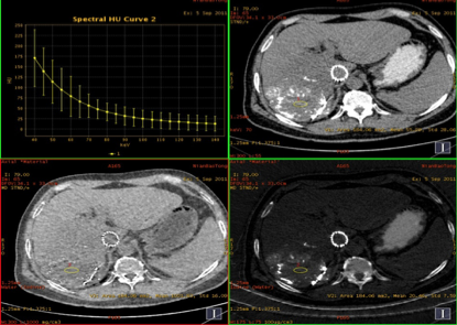
男性,56岁,肝癌栓塞术后复查。

扫描参数

模式:GSI-22,375mA@0.7sec/rot@DC40mm@SFOV Body Large

螺距:0.984:1

平扫+增强扫描

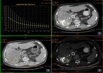
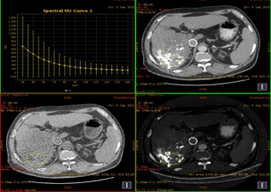
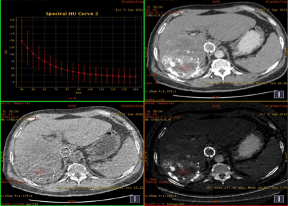
能谱分析

平扫:碘9.03,水1018.90


动脉期:碘8.56,水1016.22


静脉期:碘8.25,水1016.37

缩小ROI后放在病灶碘油未沉积区比较如下:

平扫:碘2.05,水1001.88


动脉期:碘1.66,水1009.80


结论:此例平扫、增强多期碘基物质定量无显著差异。栓塞治疗效果较好。

临床优势:肝癌栓塞后,因碘油和术后炎性反应的影响,短期内难以评估手术效果。通过能谱成像GSI分析,比较增强后碘含量与平扫时碘含量(有时可用水含量)的变化及变化趋势,来判断肝癌病灶是否还有强化,评估栓塞治疗的疗效和预后,并可指导临床进一步治疗。

备注:该病例来自广元市中心医院。


| 回复

共 1 个关于肝癌碘油栓塞后随访评估,每天更新的回复 最后回复于 2018-11-05 14:55:52

1#
陈春林 发表于 2018-11-05 14:55:52
123

首页 1 尾页

登录后进行回复

发新帖
  • 回复
  • 点评
  • 评分
  • 分享

推荐帖子