|
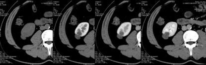
病史:男性,50岁 扫描参数: Mode:GSI -22 375mA@0.7sec/rot@DC40mm@SFOV Body Large Pitch:0.984:1 造影剂注射方案:300mgI/100ml@60ml@4ml/sec;Smartprep 病例分析过程: 1. 下图是横轴位5mm平扫及三期强化图像,参与病例讨论的医生半数以上认为有强化;病灶是肯定的,讨论的焦点是有无强化,这是判断病灶性质的关键。 
2. 薄层图像三期观察,半数以上医生坚持有强化;初步诊断良性实质性占位。 
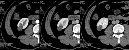
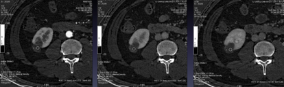
3. 进行能谱分析,碘含量测量,三期病变内部碘含量相似,且接近0的水平,提示病变没有强化。 
4. 三期冠状位测量结果显示同样结果;而肝实质、肾脏髓质均有明显强化。 
最终诊断:肾囊肿。 病例讨论:能谱分析功能可以解决临床中有争论或者诊断不明确的情况。尽管常规显示中似乎有强化的存在,但不能确切诊断。该病例通过碘含量的测量,明确了病灶没有强化。为最终诊断定下了重要的线索。 备注:该病例来自石河子大学医学院附属医院
|