|
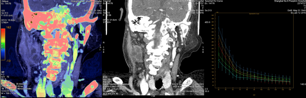
病例资料:女,72岁,颈部肿胀就诊 扫描方案:GSI22, 375mA@0.7s/rot@0.984:1@SFOV Large body 对比剂注射方案:300 mgI/100ml,对比剂60ml,盐水30ml,流速3.0ml/s CT印象:右侧颈部间隙感染 能谱分析: 

能谱曲线:区分物质。黄色曲线代表间隙感染,与蓝色咀嚼肌曲线斜率明显不同,受感染侵犯的脂肪间隙的粉色曲线平直,与正常表达的红色反向走形的脂肪曲线明显不同 散点图:间隙感染、肌肉、脂肪组织均成相对独立集中的表达趋势
直方图:70Kev单能量下,各个ROI面积下CT值分布的体素百分比。可见正常间隙脂肪组织CT值与感染间隙脂肪组织CT值分布明显不同;间隙感染的CT值分布与肌肉组织显著不同 

水基-直方图:直观显示了不同ROI面积下水含量的差异;感染病变侵犯的脂肪间隙的水含量高于正常脂肪间隙;感染病变与肌肉的水含量差异不大。 
颈部间隙多发肿大淋巴结,能谱曲线表达高度相似,提示性质相同——炎性感染
小结: 1、CNR(最佳对比信号噪声比):可以准确把握颈部软组织病变的最佳单能成像; 2、能谱曲线:有助于颈部不同软组织之间性质差异的鉴别; 3、碘-水基物质分析:可对病变进行准确定量分析,同时还有助于疗效评估。 备注:该病例来自上海市第九人民医院
|