|
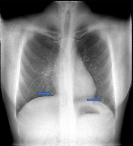
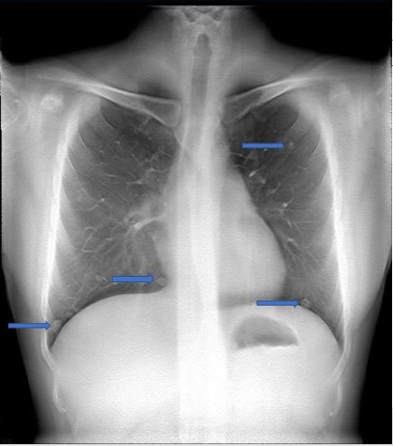
病史: 女 58岁 肝癌肺内转移 采集参数: 定位像: 110KV 0.92mAs 容积参数:110KV 0.25mAs 曝光次数 60 扫描角度 30度 重建起始高度 30mm 终止高度 200mm 层间距 5mm 层数 35 采样因子 1 胸部正位片 
容积图像: 

影像描述: X线平片:左肺内上叶、下叶见结节样密度增高影 容积图像:双肺见多个大小不等结节样密度增高影 影像诊断:肝癌肺内转移 病例点评: 容积断层图像显示双肺多发结节,较常规X平片所见病灶明显增多。相对于传统胸部X线平片,断层容积图像可以检出更多的肺转移病灶,为治疗方案的制定提供更多的影像学信息。
|