E-app
首页
学苑
医院
论坛
活动
专栏
登录
注册
论坛
›
病例
›
X-ray
0
3611
全景拼接病例四
阚凤娟
于
2018-05-28 16:59:01
[收藏本贴]
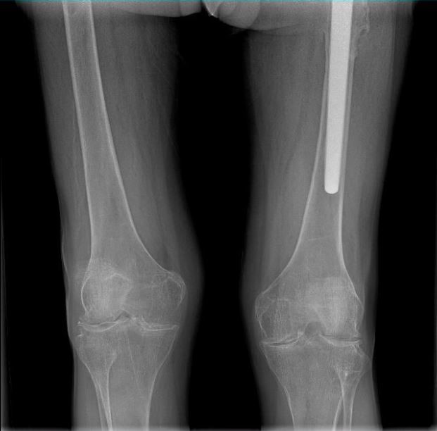
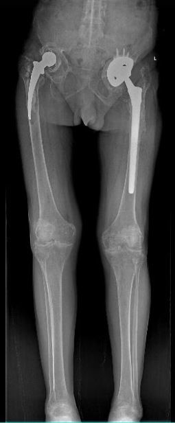
病史:
男 70岁
双侧股骨头置换术后
采集参数:
AEC 75KV
影像描述:
双侧股骨头置换术后复查
通过全景拼接图像可以清晰显示双下肢对比情况,为术后评估提供更多影像学资料。
|
回复
请
登录
后进行回复
回复
点评
评分
分享
推荐帖子
快速回复
返回顶部
返回列表