E-app
首页
学苑
医院
论坛
活动
专栏
登录
注册
论坛
›
病例
›
X-ray
0
3783
全景拼接病例二
阚凤娟
于
2018-05-28 16:54:10
[收藏本贴]
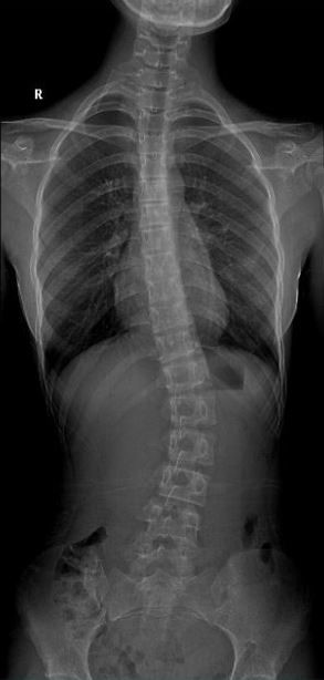
病史:
女 16岁
脊柱侧弯畸形
采集参数:
AEC 80KV
影像描述:
脊柱侧弯畸矫形术前检查
通过全景拼接图像可以清晰显示脊柱侧弯的具体细节,为矫形手术提供更详尽的资料。
|
回复
请
登录
后进行回复
回复
点评
评分
分享
推荐帖子
快速回复
返回顶部
返回列表