|
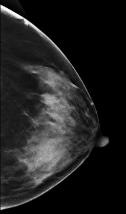
病例4 患者,36岁,常规检查,发现可疑,进一步检查。 2D图像:


V-preview图像: 

DBT图像:


影像描述: 常规2D图像MLO位左乳腺内见多个小结节影,下象限似见一团块影,边界模糊,CC位上并没有发现异常团块影,在V-Perview图像MLO位下象限见一类圆形团块影,部分边界尚清,但CC位上并没发现明显异常团块影,DBT断层图像在MLO和CC位上左乳内下象限清晰可见类圆形致密影,其边缘光滑锐利。 影像诊断: 左侧乳腺多发良性结节,BI-RADS 3。 病例点评: 最后病理证实纤维腺瘤,类似这样病例DBT可以给我们提供更多诊断信息有助于明确病变性质。
|