论坛 病例 X-ray
0 4785

乳腺DBT病例二

阚凤娟 2018-05-07 17:16:54 [收藏本贴]

病例2

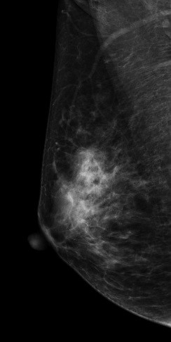
病史:患者43岁,发现右乳包块2周。

2D图像:


V-preview图像:

DBT图像:


影像描述:

       常规2D图像MLO位上象限见一团块状影,在CC位上并没有发现可疑异常密度影,在V-Preview图像和tomo图像上我们可以清楚发现病变边界不清见长短不一毛刺,呈星芒样改变。

影像诊断:

      右乳上方略偏外局限致密影BI-RADS 4B 。

病例点评:

      在TOMO图像上对星芒样病灶周边情况显示明显优于2D图像,最后病理证实右乳浸润性导管癌。


 

| 回复

登录后进行回复

发新帖
  • 回复
  • 点评
  • 评分
  • 分享

推荐帖子