|
临床资料: 男性,65岁,血尿3天就诊。 扫描方法: 常规GSI平扫+增强,对比剂碘海醇(350mgI/100ml)80ml,3ml/s。 CT印象: 
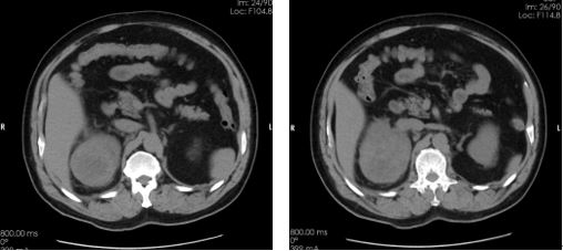
平扫右肾上极低密度肿块影 
动脉期肿块明显增强 
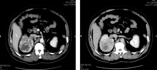
分泌期及排泄期肿块内对比剂廓清,呈典型快进快出表现 
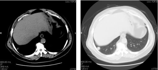
右肺下叶基底段示一孤立结节,边缘清晰 
右肺结节能谱曲线与右肾上极肿块完全重合(图示为黄色和红色曲线) 临床分析与诊断: 该患者右肾肿瘤是典型的透明细胞癌表现,右肺孤立结节通过能谱曲线分析,两者完全重合,诊断为右肾透明细胞癌并右肺下叶转移瘤。 右肾肿瘤后经术后病理证实为肾透明细胞癌,右肺结节亦经随访证实,说明CT的临床诊断准确清楚。 病例小结: 能谱四大工具之一的能谱曲线,可以通过比较两者曲线的斜率及走行对疑似转移病灶进行更进一步的分析,以明确是否同一来源抑或是不同性质的病变,可为临床提供更准确的判断和更多有价值的信息,从而达到诊断及鉴别诊断的目的。 临床小知识: 肾透明细胞癌来源于肾小管上皮细胞的腺癌,癌中常有出血、坏死、囊变和钙化。生于肾实质内,长大后浸润、压迫、破坏肾盂肾盏,向肾包膜外发展,形成血管瘤栓或转移到淋巴结及其他脏器。肾透明细胞癌早期常无症状,或症状较隐匿。可能有轻微的发热、乏力等全身症状,肿瘤体积增大时才被发现。临床主要表现为血尿、肾区疼痛和肿块等。 病例来源:聊城市第三人民医院
|