|
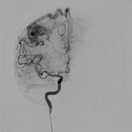
病例名称:颅内动静脉畸形的介入治疗 病史: 男性,62岁 主因“间断头疼半天”入院。 曝光模式及参数: DSA,减影3D 造影表现: DSA造影,造影提示右颈内动脉有巨大畸形血管团
 治疗方案及结果: 为了进一步详细观察畸形团形态和大小,需要行3D采集,仅需5秒即可完成血管的三维扫描。  GE提供快速血管提取功能,只需确认血管起点与终点,便可迅速找出供血血管路径,另外,通过使用三维智能路径图可以实时引导治疗过程, 
为了观察动静脉畸形的栓塞效果,术后行DSA造影。DSA造影显示畸形团基本消失,栓塞效果较好 
病例点评及临床价值: 由于动静脉畸形团体积较大,且分支血管杂乱无章,因此很难一眼看出畸形团的供血动脉。GE提供快速血管提取功能,只需确认血管起点与终点,便可迅速找出供血血管路径,另外,通过使用三维智能路径图可以实时引导治疗过程,并且在此过程中不论机架、导管床如何变换角度和位置,只要患者相对导管床的位置不变,那么三维智能路径图会始终和患者实际情况完全精准对位,避免了二维路图时需要反复造影的不便。不仅可提高手术精度,还能减少造影剂的使用,节省介入操作时间。
|