|

病史
M,77Y 病史:上腹痛,恶心,呕吐
扫描参数 模式:GSI 550mA@0.8sec/rot@DC40mm@SFOV Body Large 螺距:1.375:1 造影剂注射方案 350mgI/100ml@70ml@3.5ml/sec Smartprep/TH120/AutoVoice Off 静脉期设置35s延迟;延迟期设置120s
能谱CT诊断 胃恶性淋巴瘤


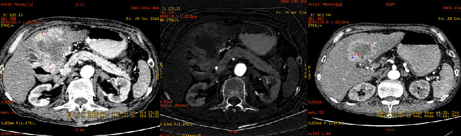
观察不同期相显示:胃窦部及十二指肠区团块,碘基图呈高密度证明有强化(白箭); 胃及十二指肠壁呈明显增厚,范围较广,胃及肠腔明显狭窄(碘基图尤为明显); 肝左叶受压明显


病灶内部密度不均,最大径线:7 × 11cm; GSI曲线分析:增厚的胃壁与外凸的部分能谱曲线一致,证明巨大病灶起源于胃; 延迟期观察,对比剂通过未受明显影响,胃壁无明显僵硬

实质期能谱曲线分析,显示病灶与腹腔内正常淋巴结曲线已有区别

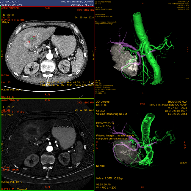
三维融合图像清晰显示病灶轮廓:肝动静脉呈“抱球征”,提示横断位图像所见的肝左叶区域的病灶并非肝实质内,而为受压及部分容积效应所致
病例点评及临床价值
胃恶性淋巴瘤 起自粘膜层,并向粘膜下层和肌层呈浸润性生长。病变可单发或多发,可局部侵犯,也可侵及全胃 临床上,该病最常需与浸润性胃癌鉴别 常规CT扫描可就病变的大小,范围,与邻近器官组织的关系作出判断,但往往缺乏有确诊价值的表现,尤其对生长巨大的病灶,其起源和与邻近结构的关系很难作出准确分析,无法明确地鉴别浸润性胃癌,仅能结合消化道造影对该病作出估计性的诊断,该病实为常规CT诊断难点之一 能谱CT扫描GSI能谱曲线分析及基物质图像分析可对病灶的起源,与向外生长部分同源性的判定,强化程度,相关淋巴结是否同源受侵等做出较准确判断,有助提高该病CT诊断准确率。如本例,通过同源性分析,明确排除了肝脏原发病灶,明确了胃及十二指肠区巨大病灶均起源于胃,通过碘基图像,发现强化程度不及正常肝脏及胃壁,通过多期相GSI图像分析,明确了对比剂通过未受明显影响,胃尚有蠕动;综合上述征象,可比较有把握地作出胃恶性淋巴瘤的诊断。
|
共 2 个关于每周图片show——宝石能谱CT能谱曲线定性分析 作者:闫旭,每天更新的回复 最后回复于 2015-09-03 15:39:03