|
图1:58岁男性,下咽癌患者, 最佳CNR单能量55kev是病变显示的最佳Kev 
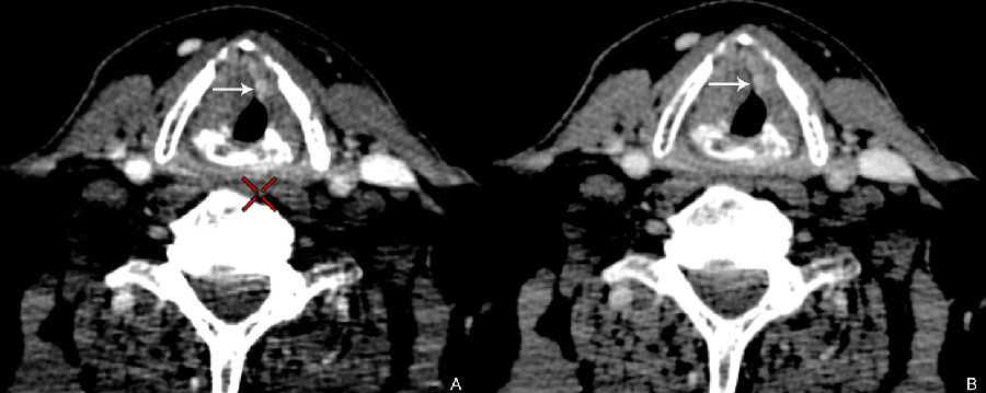
图2:57岁男性,喉癌患者,单能图像较混合能量图像更清晰显示较小病变(左图为常规混合能量图像) 
图3:69岁女性,下咽癌患者,转移淋巴结和病变走行及斜率基本一致,正常淋巴结与前两者有明显差异,提示是不同性质的组织。 
小结: 我们知道,常规CT检查图像,是由混合在一起的不同能量X射线作用于人体得到的混合能量图像。因此,会有导致伪影、CT值不稳定准确及无法体现不同能量X射线影像学的特征等等弊端! 能谱CT所独有的四大工具之一的单能量工具可以获取从40Kev到140Kev之间不同X射线能量的单能图像,从而根据临床诊断不同需要选取最理想最合适的单能图像。 能谱CT四大工具中的的能谱曲线则可以反映感兴趣区(ROI)在不同keV下CT值的变化规律,显示从40到140Kev的单能量范围内的CT值的平均值和标准差,从而反映出感兴趣区组织的病变特点和规律,为临床提供可靠的诊断依据。
病例来源:山东省千佛山医院
|
共 3 个关于能谱CT在一组咽喉癌病例中的临床应用,每天更新的回复 最后回复于 2018-05-18 11:08:03