|
山西医科大学第二医院 Revolution CT临床应用专访
采访时间:2017年5月12日 14:00 采访地点:山西医科大学第二医院影像科教研室 采访对象:赵卫东 主任
“山西人杰多辉煌,三晋地灵好风光”,2017年5月中旬,我们走进山西医科大学第二医院,与CT室赵卫东主任畅谈Revolution CT使用近四个月的应用情况,一起感受了新设备带来的全新应用体验,赵主任给我们展示了令人兴奋的精彩病例,还分享了新流程和扫描模式给患者带来的更贴心关爱。

1.从容应对“心”挑战
赵主任谈到,Revolution CT自2017年1月中旬装机,临床应用培训后投入使用,近4个月来,日均30-40例患者,由于是初期使用加之病房楼搬迁等情况,设备运行未达满负荷,即使是这样,Revolution CT也另我们耳目一新,因为在此设备上进行的冠脉扫描没有失败的,不需要前期准备心率,极大的改善了冠脉扫描的流程,冠脉患者“无需预约等待,来了就能做”,赵主任自信的告诉我们,“由于院内设施建设,一般安排患者都就近检查,临近病区的冠脉检查都在此设备上做,不做心率筛选。根据不同疾患的临床需求和BMI值,我们设置不同的扫描方案,实现了精准医疗环境下真正的个性化扫描”,冠脉CT成像的挑战在于高心率和心律不齐,“这在过去我们感觉有难度的扫描,如今都可以在单心跳下轻松完成扫描,成功率100%,无挑战”。
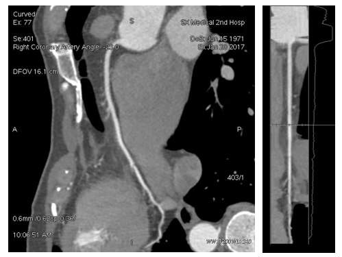
病例一:冠状动脉检查



在此期间,山医大二院参照中国胸痛中心总部认证标准,于2月27日正式成功成立山西省的又一个“胸痛中心”,并加快新的介入机房建设和人员配备,向着省内首家胸痛管理中心的目标迈进。急性胸痛起病急、进展快、死亡率高,多发于青壮年。对于急性胸痛的救治,要求迅速做出诊断,进而采取有效措施,可以降低死亡率。Revolution CT在胸痛三联的扫描中具有独特的优势,“一站式”即可完成三联成像,扫描简便易行。“一次打药就可以使冠状动脉、肺动脉以及主动脉均获得显示,并达到很好的图像质量,且扫描时间较传统CT更快,患者接受的射线剂量大幅减少,含碘造影剂的使用量与单部位扫描相当。” 病例二:胸痛三联检查




“胸痛中心的成立迫使我们必须优化胸痛患者救治与管理,将进一步推动医院急性胸痛救治的专业发展和学术交流,Revolution CT在胸痛三联检查中的独特优势将使我院急性胸痛的时间管理和救治效率更加科学”。赵主任介绍道,根据中国心血管联盟的安排,山西胸痛中心联盟将在今年成立,随后将用1-2年的时间在全省建立起一个覆盖所有基层医院的胸痛救治网络,“在下一步对基层医院的对口培训和帮扶中,我们必将发挥更大的作用。”
2.一站式检查的“两相宜”:形态学与功能学
山医大二院根据Revolution CT的宽探测器覆盖范围和可灵活设置的扫描序列,设定了科室临床研究的方向,“CTA加单器官灌注的一站式检查”、冠脉CTA加心肌灌注、头颈血管CTA加脑灌注、 COPD患者与肺癌的CT灌注扫描价值、腹部单器官灌注等,赵主任兴致盎然的介绍着,“我们能做的真是太多了,而这一切都将给临床医生和患者带来实实在在的帮助”,如慢性肾病的肾脏灌注,某些定量数据与临床肾功能有对应关系。在肺部肿块性占位的诊治中,用灌注结果进行分析定性更加准确,而在判断疗效中,就能抛弃以往评估中单纯的‘比大小(体积)、比高低(CT值)’。山西医大二院在用CT灌注结果和形态学观察相结合做肺部瘤样病变分析方面,已经取得了一些进展。
病例三:3D 全脑灌注与4D 头颈CTA一站式检查


血管检查的目的是了解较大血管形态的改变,全脑灌注是明确脑组织微血管的改变,二者相结合,对于疾病的诊断、治疗方式的选择有很大帮助。 Revolution CT轴扫时最大覆盖范围可达 160mm,能完整的覆盖全脑,并能够设置不同组别,在最佳动脉期使用较大毫安,得到清晰的脑血管图像,其它扫描时间使用较低毫安,获得低剂量的灌注结果。
病例四:肺灌注与胸部增强CT一站式检查


Revolution CT可以在造影剂流入期和流出期根据其对结果的影响程度灵活设置扫描间隔时间。一般情况下,流出期可适当延长扫描间隔时间,在保证灌注结果可靠的基础上,最大限度降低患者的辐射剂量。“一站式扫描将功能学与形态学检查的有机结合,扩展了影像学的应用”,赵主任兴奋的说道,“患者一次打药可在较低剂量下获得更多的影像学诊断信息,这种让临床和患者直接获益的临床研究对我们来说是最有价值的”!
3.删繁就简,条条大路通罗马
“我们在正式使用Revolution CT不到一周的时候,遇到了一个特殊的情况,一名本院职工,因有高血压及糖尿病病史,要求冠状动脉、脑血管及双下肢血管检查”,赵主任细致的讲述着,“我们以前的CT机受限于扫描时间,无法完成这项联合检查,只能分步进行,这样患者就要接受更多的辐射和增加造影剂用量。” Revolution CT能将门控与非门控、轴扫与螺旋扫描有机的结合设置、快速转换,因此一次造影剂注射即可完成头颈 CTA、冠状动脉及下肢动脉的全部检查,且图像质量良好。赵主任笑着说,“我们找到了用简单方式处理复杂问题的‘捷径’,应对临床更高的需求,实现复杂的检查,我们更有信心了!”
病例五:冠状动脉与全身大血管的联合扫描


4.黑白世界的“高低之美” “作为一名从事医学影像专业30余年的放射科医生,我亲历并见证了CT技术飞速发展的过程”,赵卫东主任始终关注着技术革命带来的全新临床应用,随着设备的更新换代,“如何利用好顶尖设备,使之能够充分发挥优势,用我们的医术和先进的科技为老百姓提供最佳的医疗服务,这正是我们临床工作者需要认真思考的事情。”
病例六:全身低剂量CT的高清图像
我院血液内科是省内最早的临床博士学位授予学科,多发性浆细胞性骨髓瘤患者较多,该病常伴有全身多发性溶骨性病变,对全身骨病变的评估,CT、MR等发现病变的机会早于X线检查,CT检查的经济性和快速性更有优势。过去在别的设备上做过这样的扫描,现在把全套方案移植到Revolution CT,“我们发现扫描速度更快,总体剂量更低,显示的图像质量更好,细微的骨破坏和增生,都能显示出来”,赵主任耐心的讲述着,Revolution CT的ASiR-V迭代平台和宽覆盖的快速扫描,可以在很低剂量下对全身的骨质高清观察,并对实质脏器进行检测,对受累的病灶进行精确的定位,对于骨的增生性、破坏性、混合性病变显示的敏感度和效果均不错,对其它肿瘤患者一次性全方位显示实质脏器转移灶也有较大帮助。
5.热爱探索,拥抱未来

临近采访结束,赵主任谈到了对CT发展的期待,希望能有更多的器官特异性造影剂供CT检查使用,让某些病变能更好观察、更早发现,更低的扫描剂量让患者更易接受,更自动化的CT导航功能从而帮助CT引导下的介入手术更加精准,“人工智能”平台对于肺结节的良恶性判断…,赵主任的思维清晰而活跃,给我们留下很深的印象,而这所有美好的愿景,都体现着他爱探索的科学精神以及对患者深厚的关爱。
|
共 3 个关于三晋大地好风光,Revolution CT耀山西,每天更新的回复 最后回复于 2022-04-26 20:57:31