|
病史: 男,53岁。乙肝病史10余年。超声检查显示弥漫性肝硬化改变。
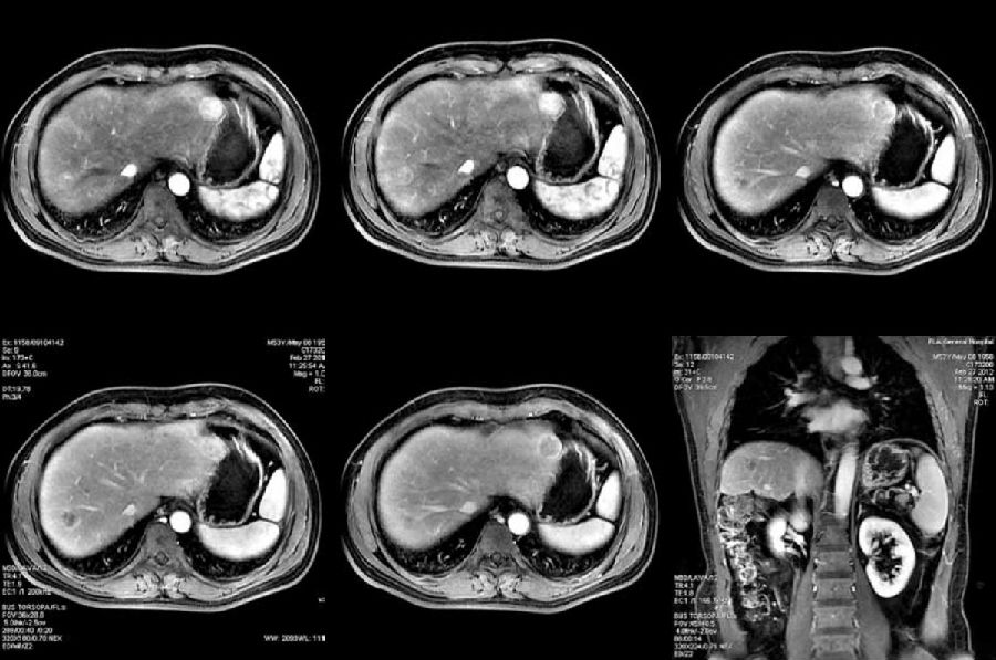
扫描序列: GE LAVA Flex多期动态增强扫描;T2脂肪抑制;DWI
MR影像及表现: 
T2脂肪抑制图像,清晰显示肝实质内存在大量环状低信号改变,这是肝硬化所导致的硬化结节的典型表现;同时还可见两类圆形高信号病灶

弥散图像显示相应病变呈高信号 
LAVA Flex多期动态增强扫描,显示病灶在动脉期强化但在静脉期及延迟期强化消退。
影像分析: 平扫T2图像:充分显示了磁共振在软组织对比分辨率上的优势,更敏感的显示肝硬化所导致的硬化结节。当硬化结节发展演变为癌前病变及肝细胞肝癌时,因为动脉供血增多、肝血窦容积增大以及肿瘤血管增多等改变,导致病灶内血容量增多,血流速度缓慢,从而导致T2弛豫时间延长,因而这类病变在T2相可以表现为高信号改变。 弥散成像:可以敏感检测到病灶内水分子扩散异常,能更敏感的发现小肝癌病变。 LAVA Flex 多期动态增强:病灶在动脉期强化,提示病变以动脉供血为主,这是肝硬化再生结节向不典型增生结节及肝细胞肝癌转变过程中的一个重要病理改变;而静脉期及延迟期病灶强化消退提示相应病灶门脉供血减少,这实际上是鉴别高度不典型增生结节(High Grade Dysplastic Nodule, HGDN)和肝细胞肝癌另一个重要依据。
最后诊断: 肝硬化合并小肝癌
技术点评: 在肝硬化相关结节的演变发展过程中,从再生结节到不典型增生结节再到肝细胞肝癌,所伴随的一个重要病理改变是血供类型的改变。从正常以门静脉供血为主,逐步发展到以肝动脉供血(新生肿瘤血管)为主。肝硬化相关结节演变过程中所伴随的血供类型的改变为影像学检查明确结节性质提供了可能。 本病例中,LAVA Flex多期动态增强扫描显示相应病灶在动脉期强化,提示病变以动脉供血为主,这是肝硬化再生结节向不典型增生结节及肝细胞肝癌转变过程中的一个重要病理改变;而静脉期及延迟期病灶强化消退提示相应病灶门脉供血减少,这实际上是鉴别高度不典型增生结节(HGDN)和肝细胞肝癌的另一个重要依据。
病例来源:解放军总医院
|
共 1 个关于男,53岁。乙肝病史10余年。超声检查显示弥漫性肝硬化改变。,每天更新的回复 最后回复于 2017-11-23 21:19:51