|
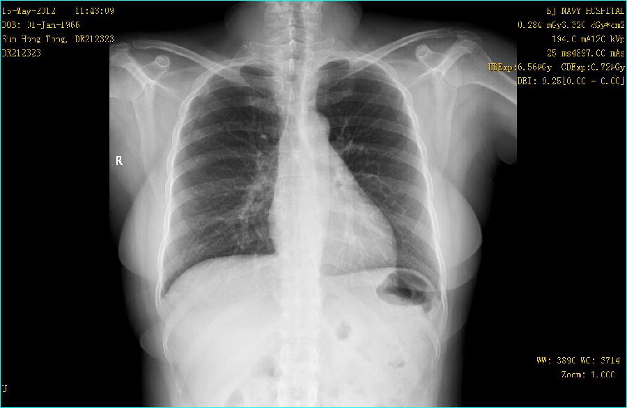
病史: M,46Y 病人主诉:常规体检 曝光参数 120KV;194mA ; 25ms ; 0.284mGy 常规胸部平片:


双能成像图片:




病例点评: GE公司的双能成像检查采用可以快速读取的X线平板探测器,由X射线球管间隔约150ms进行低能(低kVp)和高能(高kVp)两次曝光。采集到的图像经过图像工作站快速处理产生一组3幅图像:标准平面图像,软组织图像和骨骼(钙化)组织图像。这种双能量DR检查对于改善肋骨后面重叠区域的非钙化结节的能见度非常有效。同时对在肋骨间和超过骨组织钙化的结节能更好地显示。
|