|
病史: F,52Y,下腹部坠胀半年 查体中下腹部触及包块 5年前曾行子宫肌瘤手术切除 扫描参数: 模式:GSI -22 375mA@0.7sec/rot@DC40mm@SFOV Body Large 螺距:0.984:1 造影剂注射方案: 350mgI/100ml@80ml@4ml/sec Smartprep 
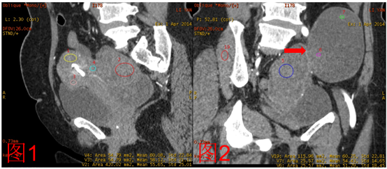
CT表现: 盆腔巨大实性、囊实性占位 实性病变与子宫分界不清,轻度强化 囊实性病变以囊性结构为主,其内见少量不规则实性成分,强化程度较实性病变稍弱,整个病变似与实性病变有分隔(图2 红色箭头) 常规CT诊断: 结合病史,实性病变考虑子宫肌瘤复发 囊实性病变性质待定,子宫肌瘤复发?卵巢病变? 
能谱曲线分析: 动脉期实性病灶及囊实性病灶中实性成分的能谱曲线与子宫肌层能谱曲线基本一致,考虑病变来源于子宫肌层; 延迟期子宫肌层能谱曲线与实性病灶及囊实性病灶中实性成分的能谱曲线出现分离,位置稍高,但实性病灶及囊实性病灶中实性成分的能谱曲线基本一致,考虑两者性质一致 
能谱单能量分析: 低keV血管成像显示,实性病灶及囊实性病灶中实性成分的供血动脉均为子宫动脉
最后诊断: 盆腔实性、囊实性病变考虑子宫肌瘤复发 小结: 能谱曲线可以进行同源性分析,即通过能谱曲线的相似与否来提示病变是否有相似性。但需要注意的是使用能谱曲线时要用动态的思维来考量。例如:该病例的动脉期与延迟期的能谱曲线的变化既说明病灶的起源相似性,又说明病灶供血的特征性,为临床提供了更多的病变信息,指导临床诊疗方案的制定。 单能量低kev,可以使原来难以结构清晰显示,为临床提供更多的病变信息。 病例来源:中国贵航集团302医院
|