|
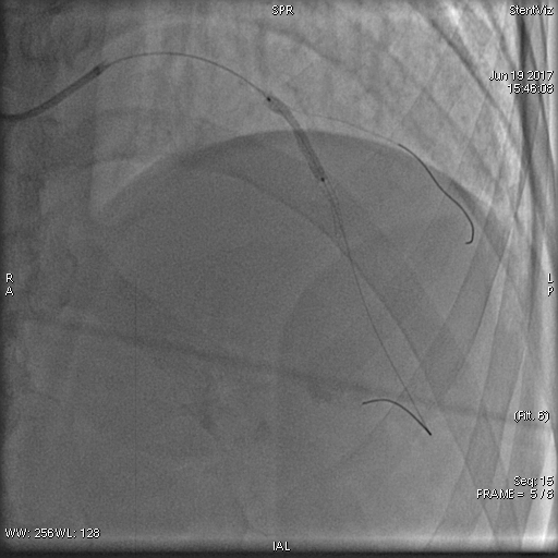
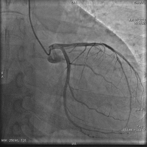
病例名称:支架精显功能在冠脉介入中的应用 病史: 男性,50岁 主因“间断胸痛半年,加重半天”入院。 曝光模式及参数: Dynamic,15f/s 造影表现: 经右桡动脉行CAG示:前降支中远段重度弥漫性狭窄。
 
治疗方案及结果: 前降支中远段重度弥漫性狭窄,行支架植入术治疗,术后罪犯血管开通,血流通畅,达TIMI3级。 病例点评及临床价值: 前降支近段支架释放后,发现支架球囊未完全扩张,后扩后情况未明显改善,应用StentViz示:前降支近段支架与远段支架重叠良好,近段支架近端未完全扩张,有“小腰”,呈“狗骨头效应”,同时血管局部钙化斑块明显。明确情况后,继续加压扩张后,支架完全扩张,血流通畅达TIMI3级。 在本病例中,术中StentViz即刻评价了支架释放效果,精准的显示了两支架扩张、重叠和贴壁的情况,把“几乎看不见的支架”精准的呈现了支架的每一个细节,同时也显示了透视和采集不易发现的钙化病变,提高了诊断的精准度,明确了进一步的治疗方案。
 
  
|