|
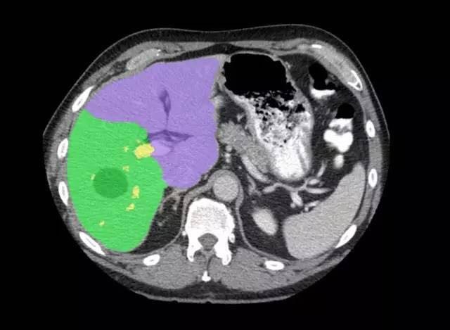
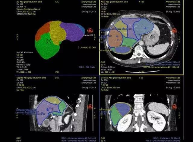
近日GE Revolution HD 精准能谱CT携手GE最新AW4.7后处理工作站在山东济南正式发布。和前款工作站相比,AW4.7功能更加强大,让圈内人不得不感叹GE在后处理软件技术的领先地位。 这台后处理站简直帅到没朋友: Hepatic VCAR 强大的VCAR系统,可见自动对肝脏进行分段,且对病灶及肝脏体积进行测量。外科医生一定非常喜欢这一功能。 


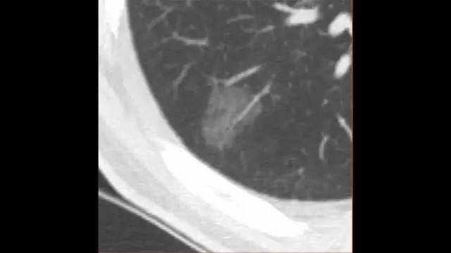
Lung VCAR Lung VCAR可见对肺结节进行图像分割,自动计算结节体积及径线。自适应同步配准可以显示肿瘤的倍增时间及增长百分比情况。创新的Digital Contrast Agent技术使实性结节可视化,有助于对可疑病灶的呈现。 




CardIQ Xpress 2.0 Reveal 
至简的工作流程,一键式2D/3D冠脉重建,轻松测量管腔狭窄、斑块密度、斑块长度。一键式心功能计算......CardIQ Xpress 2.0 Reveal足够出色。
全新操作界面 
首发最新版AW4.7后处理工作站自主式人机交互界面。 全新导航栏:提供更快捷的方式浏览后处理步骤、流程、图像; 可自助定制工具栏,通过分类和颜色编码,便于一键式访问和使用;可通过拖放添加常用工具。 

简洁快速的操作体验,原先需要点击25次鼠标才能完成的后处理任务,如今只需7次点击即可完成。 其实这远远不是全部,最令人期待的是AW4.7后处理工作站已经嵌入了部分AI及影像组学软件,再匹配上GE Revolution HD的能谱技术,我想这款组合的潜力真的是无限。The Future is now。
|