|
综述:CT血管造影(CTA) 20年的发展之路(连载五):CT血管造影术对于临床的贡献——主动脉腔内修复术
作者:Geoffrey D. Rubin, MD 作者单位:Duke Clinical Research Institute, 2400Pratt St 本文发表于:Radiology: Volume 271: Number 3—June 2014radiology.rsna.org 翻译:张杰;校对:张帅、陆伟;整理:梁军

上期回顾: 本综述介绍了CT血管造影术对于外周血管疾病的应用及价值:随着多排探测器CT的应用,整个下肢动脉,包括从腹股沟上方流入动脉至腹股沟下方流经动脉的CT血管造影成为了可能。
本期内容: CT血管造影术对于临床的贡献:本期连载将从两个方面 1)主动脉腔内支架植入术 2)经导管主动脉瓣植入术(TAVI) 来探讨CT血管造影术对于主动脉腔内修复术方面的临床应用和价值
主动脉腔内修复术 Endovascular Aortic Repair
第一项:主动脉腔内支架植入术 Wave 1:Aortic Endograft Deployment
1991年首次报告采用腔内支架植入的血管内修补主动脉瘤技术之后(56),“腔内支架”植入术即在1990年代迅速发展并商业化(57)。关注于主动脉瘤最常见的类型,这些支架最初开发用于修补肾动脉水平以下的腹主动脉瘤,但很快,被扩展到修复胸主动脉瘤方面(58)。 Following the first deion of endovascular repair of aortic aneurysms using stent-grafts in 1991 & #40;56& #41;,the 1990s brought rapid development and commercialization of stent-grafts or“endografts” for the repair of aortic aneurysms & #40;57& #41;. Focusing onthe most prevalent type of aortic aneurysm, these devices initially were developedto repair infrarenal abdominal aortic aneurysms, but their use was soon expanded to thoracic aortic aneurysms, as well & #40;58& #41;.
在主动脉支架植入之前,主动脉瘤的修复还专属于外科开放手术。由于手术暴露为外科医生提供了主动脉的直接可视化,因此修补前很少要求提供主动脉特征的影像,而主要关注在明确暴露动脉瘤的上、下边界范围和相应的手术风险上及基于主动脉阻断位置(59)。手术中直接主动脉直径的测量,并由模拟植入物来确定其长度。 Prior to the development of aorticstent-grafts, aortic aneurysm repair was exclusively an open surgical procedure.Because the surgical exposure provided the surgeon with direct visualization ofthe aorta, the demands on imaging to characterize the aorta prior to repairwere limited and were focused predominately on identifying the superior andinferior extent of the aneurysm to plan exposure and attribute surgical riskbased on the position of the aortic cross-clamp & #40;59& #41;. The sizing ofthe graft was performed intraoperatively by using direct measurement of aorticdia meter and fitting of the graft to determine length.
相对而言,腔内支架植入则需要术前主动脉成像,以定性和定量的分析。这些分析包括确定支架经动脉走行路径的匹配性,近端固定、封闭区,以及远端封闭区。对主动脉分支的识别、鉴别非常重要,包括主肾动脉、副肾动脉、肠系膜上下动脉,髂内动脉,以避免由主动脉支架引起动脉分支闭塞而导致的终末器官缺血,并且可以预测分支的栓塞部位,从而将发生II型内漏的风险降到最低。最后,对主动脉和髂动脉的定量测量非常必要,这有助于确定所需支架的规格尺寸:包括支架近端、远端的直径以及支架的长度。 In contrast, stent-graft deployment placed fundamentally new demands on preoperative imaging for qualitative and quantitativeanalyses. These included determinations of the suitability of the transarterialdelivery route, the proximal fixation and seal zone, and the distal seal zone.The identification and characterization of aortic branches, including mainrenal, accessory renal, superior and inferior mesenteric, and internal iliacarteries were important to avoid inadvertent end-organ ischemia due to aorticbranch occlusion by the stent-graft and to allow for the possibility of pre-deployment branch embolization to diminish the risk of type II endoleak. Finally,quantitative analysis of the aorta and iliac arteries was necessary tocorrectly size the device to determine the diameters of the proximal and distalends and the length of the stent-graft.
虽然现在仍然以传统的血管造影技术作为评估标准,但是它在预测评价主动脉特征方面有一定的局限性,它不能确定动脉瘤血栓的来源,并且投影、放大率、视觉差异也会对测量值的精确性产生影响。由于主动脉相对于CT扫描床的纵轴是弯曲、倾斜的,所以通过CT轴位图像所测得的直径数据并不可靠,并且和观察者的主观性有一定的关系(60)。 While conventional angiography was the standard of the day, its ability to fulfill the demands of predeployment aorticcharacterization was limited by its in- ability to demonstrate thrombosed regionsof aneurysms and the effects of projection, magnification, and parallax on theaccuracy of measurements. Owing to aortic tortuosity and obliquity relative tothe longitudinal axis of the CT table, diameter measurements from transverse CTreconstructions were un- reliable and associated with substantial inter-observer variability & #40;60& #41;.
然而主动脉直径的轴位测量和其头-足方向的长度值被常规应用于确定支架的尺寸(61,62)。血管内超声(在美国)成为传统成像方法外一个非常受欢迎的辅助技术,它在测量支架的直径和长度值方面的精确性,被吹捧为远远精确于通过CT轴位数据重建所测得的值(63),但是在美国对于用于腔内支架测量最终被否定(图8)(64)。 Nevertheless transverse measurements of aortic diameter and cranial-caudal dimensions ofaortic length were used routinely for stent-graft sizing & #40;61,62& #41;.Intravascular ultrasonography & #40;US& #41; became a popular adjunct to conventional angiography and was touted as having greater accuracy than transverse CT reconstructions for determining the diameter and length of stent-grafts & #40;63& #41;,but the utility of intra- vascular US for sizing endografts ultimately wasrefuted & #40;Fig 8& #41; & #40;64& #41;.

图8:(a)矢状位,37.5px层厚MIP图像,显示腹主动脉瘤(AAA),其内可见血管内超声导管& #40;空心箭头& #41; 斜穿过主动脉瘤近端颈部(实性箭头)。由血管内超声导管相对瘤颈腔中轴平均倾斜21.1° ± 2.6的角度范围的图像,所测得的偏心率和瘤颈水平横截面的最大直径值要大于在CT正交截面所测得的值。(b)图为血管内超声图像(c)图为与瘤腔中轴线垂直,在计划放置支架位置的水平进行CT双斜位重建,箭头所示为肾静脉。主动脉偏心率:血管内超声测量值为为0.68,CT测量值为1.0。血管内超声导管的倾斜可能是导致大多数轴向测量值高估的原因,超声伪影也会干扰对血管壁位置的判定。注意观察超声图像所探测到的主动脉前壁到左肾静脉之间的距离。CT图像表明,这些高回声大多是伪影。(d)自动提取主动脉至右髂动脉段血管,并沿着血管中心线对每个层面进行斜位重建,然后计算出沿着中心线方向的每个横截面的平均直径。箭头所表示的点是CT横截面视图所对应的位置。在曲线中可以看到一个很小的峰(左侧箭头所示),它表示右肾动脉的起始部位最下方层面,对应支架近端的位置,峰旁显示其直径为18mm。中间最长的箭头表示瘤体最大直径,58mm。从主动脉转换到右侧髂总动脉时,横截面大小的变化非常突然(短箭头),随后直径进一步减小,表明已经过渡到右侧髂外动脉,其起始处直径只有8mm(右侧长箭头)。CT重建图像不仅可以显示各截面直径值,还可以计算整个血管路径的长度,及各节段的长度
作为一种近似各向同性容积数据采集技术,CT血管成像区别于上述血管内超声成像,它可以进行笛卡尔二维重建、曲面重建(42)以及容积再现(VR)重建(65)。血管自动分析功能,可以定量测量横截面面积、长度,动脉的曲度或扭转程度,克服了二维技术的限制,获得了真正的垂直于主动脉管腔及分别以血管的内、外壁作为参考标志的测量值(图8)(66)。CT血管造影技术,作为对主动脉瘤进行特征性成像和指导腔内支架植入计划的唯一的检查技术逐渐被接受,但直到21世纪早期才被大力认可。 CT angiographystood apart from the aforementioned imaging modalities as a near-isotropicvolumetric acquisition technique that allowed the reformation of Cartesianplanar and curved planar & #40;42& #41; images as well as volume renderings & #40;65& #41;.The introduction of automated analytical tools to quantify cross-sectional area,length, and arterial curvature or tortuosity offered a process that overcamethe many limitations of two- dimensional techniques by allowing measurement ofcross-sections that were truly orthogonal to the aortic lumen and allowedmeasurements to be referenced to both inner and outer wall landmarks & #40;Fig 8& #41; & #40;66& #41;.The acceptance of CT angiography as the sole modality of choice for aorticaneurysm characterization and planning of stent-graft deployment was gradualbut was firmly established by the end of the early 2000s.
在主动脉内支架手术的早期,对修复的自然进程所知甚少。由于支架计划的异常复杂,术前影像学评估的能力有限,诸如近远端封闭区是否完美,以及会否血液从主动脉中返流到动脉瘤内,支架是否会随着时间的变化而发生移位或断裂,因此术后需要更多的随访观察相比传统修补术。在腔内支架的临床试验中,将传统的血管造影和投影放射学结合在一起,作为成像标准,以识别动脉内漏、支架的移位,然而,CT血管造影很快出现作为一种更高级的检查方法,发现动脉内漏(67,68)和发现支架的移位和解体(图9)(69)。 In the early days of aortic endograftprocedures, little was known about the natural history of the repair. Owing tothe greater complexity of pre-deployment planning, the limited ability ofperiprocedural imaging to assess for robust proximal and distal seals as wellas back-bleeding into the aneurysm sac from patent branches and the possibilityover time for dislodgment and disintegration of the stent-graft, the necessityfor postdeployment surveillance was greater than with conventional repair. Inclinical trials of endografts, the combination of conventional angiography andpro-jectional radiography were established as the imaging standard foridentifying endoleaks and device dis- placement, however, CT angiography quicklyemerged as a superior modality for endoleak detection & #40;67,68& #41; andultimately for the detection of stent-graft migration and disintegration, aswell & #40;Fig 9& #41; & #40;69& #41;.
上述这些要归功于CT断面采集技术可以去除重叠结构,并且对低浓度碘的检查具有更高的敏感性,其对内漏发现可能源于碘剂在进入瘤腔之前,经过远处起源的侧枝循环时,已经受到动脉血流的稀释(70)。最近公布的数据表明,MR成像对内漏检测可能比CT血管造影更敏感,特别是在使用血池造影剂时(71)。在这样的病例中主动脉瘤在不断扩大,CT图像上却无法发现明显的内漏,这时MR图像可能是一个非常有用的辅助手段。由于CT血管成像可以显示髂主动脉的解剖形态、位置,以及在有或无造影剂的情况下显示腔内支架整体状况的多种功能,使之成为腔内支架植入术后随访的首选检查(72)。 The former observation was based onthe elimination of overlap- ping structures owing to the cross- sectional acquisitionand the greater sensitivity of CT for low concentrations of iodine, which forendoleak detection may be subjected to intra-arterial dilution prior toentering the sac via collateral pathways with distant origins & #40;70& #41;.Recently published data suggest that MR imaging may be more sensitive than CTangiography for the detection of endoleaks, particularly when used with a bloodpool contrast agent & #40;71& #41;. While MR imaging may be a useful adjunctto CT in cases in which the aneurysm sac is growing without a demonstrableendoleak on CT images, the versatility of CT angiography to show aortoiliacanatomy as well as the position and integrity of the endograft with or withoutthe use of iodinated contrast material makes it the preferred examination fortracking post- deployment endograft performance & #40;72& #41;.

图9:胸主动脉降部行腔内支架术后1年,CT血管造影。(a)曲面重建显示,支架近端在主动脉弓远端曲度较小的部位脱落,并导致造影剂流向支架的周围,向下行,然后螺旋形向远处扩散(箭头)。(b)冠状斜位重建,主动脉弓远端的支架位置固定欠佳,主动脉周围大部分区域充满内漏的血流。(箭头所示)(c)225px长度的降主动脉瘤的横轴位图像(放置腔内支架时,其长度测量值为175px),箭头所示为动脉瘤腔的内漏。(d,e)VR图像显示支架远端多个横向支架环(窄箭头所示)和纵向支柱(粗箭头所示)的断裂。清晰显示支架断裂的末端及环的高度分离,表明远端部位支架移位严重,并失去了整体性。可能会导致近端支架的移位、IA型内漏的发生和主动脉瘤的扩大。(转载,见注解24)
第二项:经导管主动脉瓣植入术(TAVI) Wave 2:Transcatheter Aortic Valve Implantation
上世纪90年代,以主动脉腔内支架植入术为代表的革命性技术彻底改变了传统的主动脉瘤修复方法。二十年后, 经导管主动脉瓣置换术(TAVR)作为一个创新、颠覆性技术的出现用于伴严重的主动脉瓣狭窄而无法手术及高风险患者(73,74)。 In the 1990s,aortic endografts represented disruptive technology that completely changed thelong-established approach to aortic aneurysm repair. Twenty years later, trans-catheteraortic valve replacement & #40;TAVR& #41; has emerged as a novel and similarly disruptivetechnology for repair of the aortic valve in non-operable and high-riskpatients with severe symptomatic aortic stenosis & #40;73,74& #41;.
2002年,Cribier等首次报告了TAVR经静脉手术的方法(75)。随后,一系列经血管的手术方法被开发应用,包括最常规的通路,经股动脉通路,还有经主动脉通路,经锁骨下动脉通路和经心尖通路,迄今为止,在世界范围内已经开展了60000多种应用方法。 TAVR was first described by means of atransvenous approach by Cribier et al in 2002 & #40;75& #41;. Subsequently, anarray of alternative transvascular approaches have been developed, includingthe most common route, the transfemoral arterial approach, but alsotransaortic, trans-subclavian, and transapical methods, allowing over 60 000procedures to have been per- formed worldwide to date.
相似于主动脉腔内支架植入术,第一代TAVR的开展很大程度上得益于很久以来应用的影像技术---超声心动技术的支持,它可以对主动脉瓣的局部解剖进行评价。由此得到可行但并不完美的早期效果(73,74),并导致了一些争议即除了评估外周血管通路之外,没有CT特征性影像。这种争论是由于忽略了TAVR术后产生了严重的并发症,包括主动脉瓣返流,其可由随后的经食道超声心动图确诊(76),并通过对主动脉环的全面和细致的评估后而缓解。 Similar to aortic endograftdeployment, the first generation of TAVR development has been largely supportedby long-established imaging techniques used for assessing the local anatomy,which for the aortic valve has been echocardiography. This resulted in good butnot perfect early results & #40;73,74& #41;, leading some to argue that thereis no role for CT characterization beyond assessment of the peripheral vascularaccess route. This sentiment ignores the significant residual complicationsthat remain with TAVR, including paravalvular aortic valvular regurgitation,which is defined by post-deployment trans-esophageal echocardiography & #40;76& #41;and might be mitigated through a more complete and granular assessment ofthe annulus.
人们日益意识到,即使轻度的主动脉瓣返流病人的预后也要比只是微量返流病人有更差的预后(77)。随访发现术后30天和1年,分别有12.9%和6.8%的TAVR患者有中到重度的主动脉瓣返流,相较于PARTERNER A试验的外科手术患者的发病率分别只有0.9%-1.8%(73,74)。虽然主动脉瓣返流受多种因素影响,如瓣膜钙化的严重度和偏心性及主动脉瓣解剖位置的异常,这在病因学上具有重要的意义,但与主动脉环相关的被低估的经导管的心脏瓣膜尺寸也是一个公认的重要影响因素(78)。 There is increasing awareness thateven a mild degree of paravalvular aortic valvular regurgitation portends aworse prognosis than those patients who experience trace paravalvular aorticvalvular regurgitation & #40;77& #41;. Moderate to severe paravalvular aorticvalvular regurgitation has been observed in 12.9% and 6.8% of TAVR patients at30 days and 1 year, respectively, compared with 0.9% and 1.8% in the surgicalarm of the PARTNER A trial & #40;73,74& #41;. While paravalvular aorticvalvular regurgitation appears to be multifactorial, with factors such asseverity and eccentricity of valvular calcification and malpositioning beingimportant in its etiology, it is widely accepted that undersizing of thetranscatheter heart valve relative to the aortic annulus is a significantcontributing factor & #40;78& #41;.
要了解TAVR,首先要对主动脉环的非圆形形态须引起重视。卵圆形的几何外形是造成主动脉瓣返流的主要原因(76)。在应用经胸壁二维超声心动技术的时候,主动脉环卵圆形结构曾被忽视,只有在CT心电门控血管造影图像上,卵圆形结构才清晰呈现(79,80)。进一步的,CT血管造影和经食道超声心动图可以对主动脉根部进行动态成像,并观察到主动脉环轮廓和形态随着心脏的周期性跳动而变化,形态的变化会受到主动脉-二尖瓣的连续性,左心房压力,和心脏血容量等因素的影响(81)。 To understand TAVR, one must firstappreciate the noncircular configuration of the annulus. The ovoid geometry iswell accepted to be a major cause of paravalvular regurgitation & #40;76& #41;There has been historical under-appreciation of this noncircular geometry bytwo-dimensional transthoracic echocardiographic techniques and it was only wellestablished through the use of ECG- gated CT angiography & #40;79,80& #41;.Further, studies using CT angiography and trans- esophageal echocardiographyhave established the aortic root as a dynamic structure that undergoespulsatile con- tour deformation and configurational change throughout thecardiac cycle related to a number of factors, including the aortic-mitralcontinuity and the variability of left atrial pressure and volume across thecardiac cycle & #40;81& #41;.
具有各向同性容积成像及高时间分辨率的心电门控CT血管造影可提供全心周期的、可重复性的、精确的主动脉环测量值,一种可靠的测量主动脉环面积和周长的方法,它已被证实能很好地预测主动脉瓣的返流(78)。 The isotropic volumetric andtime-resolved capabilities of ECG-gated CT angiography provide reproducible andaccurate annular measurements throughout the cardiac cycle, providing a reliablemeans to measure annular area and circumference, which have been shown to bepowerful predictors of paravalvular aortic valvular regurgitation & #40;78& #41;.
近来,经导管心瓣膜支架尺寸测值是基于面积测量而非直径显示了更好的重复性,且一再证实对主动脉环的过高估测。这种技术已被证实能够减少主动脉瓣返流的发生及降低其严重程度,与经胸壁超声心动技术比较,减少了过分地低估或高估主动脉环的大小(82)。因此,源自CT血管造影技术的测量正成为TAVR支架瓣膜选择的标准,来优化主动脉换的尺寸测量并确保主动脉环扩边的可控性,最近有关集成了CT血管造影的TAVR支架瓣膜尺寸测量之后,大大降低了主动脉瓣返流发生的报道是令人鼓舞的(82,83)。 Recently trans-catheter heart valvestent- sizing algorithms—based on area rather than diameter—have been shown tobe more reproducible and have demonstrated more consistent oversizing of theannulus. This technique has been shown to enable a reduction in the bur- denand severity of paravalvular aortic valvular regurgitation and, when compared withtransthoracic echocardiography, reduces extreme over- and undersizing & #40;82& #41;.Consequently, CT angiography–derived measurement is becoming the standard forTAVR stent valve selection to optimize annular sizing and ensure controlledoversizing of the aortic annulus & #40;Fig 10& #41;, encouraged by the recent reports ofsignificant re- ductions in paravalvular aortic valvular regurgitationfollowing the integration of CT angiography–based sizing of TAVR stent valves& #40;82,83& #41;.
虽然一些研究者赞同综合多排螺旋CT的周长测量标准,但不同的工作站所测得的主动脉环的周长还是有明显差异(81)。无论是采用测量周长还是面积,CT一直可提供可重复的和精确的主动脉环的测量,这对于有轻度以上级别的主动脉瓣返流的病人来说,它比经食道3D超声心动技术测量的值更准确。对于经导管心脏瓣膜置换术而言,这些测量方法可以提供比任何二维直径值测量法更加可靠和综合性的评价,能更好地预防人工瓣膜尺寸高估及瓣环扩张。 While some investigators haveadvocated the integration of multi-detector CT perimeter-based sizing, there appearsto be significant variability in annular circumference measurements acrossworkstation platforms & #40;81& #41;. Regardless of the use of perimeter/circumference or area, CT has been consistently shown to provide reproducibleand granular assessments of the annulus that are more effective than 3D trans-esophagealechocardiographic assessments for the identification of patients who are likelyto experience greater than mild paravalvular aortic valvular regurgitation.These measurements allow for a more thoughtful and integrated approach to trans-catheterheart valve selection than any two-dimensional diameter can provide, enablingmore controlled device oversizing and annular stretch.
在主动脉根部情况不佳的情况下,如左室流出道有明显的钙化,或佛氏(valsalva)浅窦,这些技术可用于适度减小人工瓣膜扩张的尺寸,或者对气囊小心地不完全充气的情况下使瓣膜张开。而未来将需要更多的研究来确定测量主动脉瓣环的最佳方法,使得主动脉瓣返流程度最小化和血管损伤之间达到最佳的平衡。毫无疑问,在过去的5年里,CT已经改变了我们对主动脉环几何结构的认识,并成为指导TAVR手术计划必不可少的组成部分。 They alsoprovide an opportunity to consider controlled under-sizing of self-expandingprostheses or careful balloon under-filling with a balloon expandable valve inthe set- ting of adverse root features such as significant calcification withinthe left ventricular outflow tract or shallow sinuses of valsalva. While futurestudies will be needed to determine the optimal method for annular sizing toachieve an effective balance between the minimization of paravalvular aorticvalvular regurgitation versus vascular injury, there is no question that overthe past 5 years CT has trans- formed our understanding of annular geometry andhas established itself as an essential component of TAVR planning and guidance.

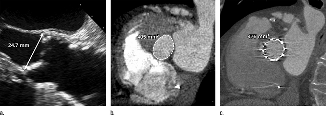
图10 (a,b)TAVR术前采集的图像(a)经胸壁超声心动图(b)84岁,男性,严重主动脉狭窄症状,多排螺旋CT检查。二维超声心动图测量主动脉环直径24.7mm,选择26mm直径的经导管心脏瓣膜(面积132.75px2),尽管主动脉环在CT图像上的面积测量值是100px2,通常根据这个测量值,会推荐使用23mm的经导管心脏瓣膜。(c)术后CT图像上显示环形但没有完全展开的经导管心脏瓣膜,原因是在单一的二维图像上测量椭圆形结构,明显高估瓣膜的尺寸。
|