|
“每周读片”是对比剂学院推出的全新板块,也是“读享影宴”系列活动的全新栏目。“读享影宴”读片会网络视频直播是GE药业市场在2015年正式推出的以影像读片为主题网络教育项目,主要面向广大的基层医院,经过两年的精心打造,该项目应该覆盖超过2,000家医院,10,000名放射科医生,成为目前市面上最受欢迎的网络教育平台之一;为了让更多的基层放射科医生受惠,我们将会把每个病例的专家讨论精彩视频片段通过“每周读片”的形式,呈现给各位观众。
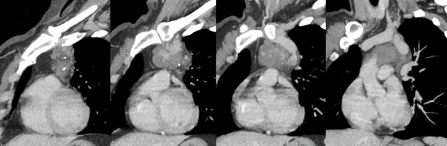
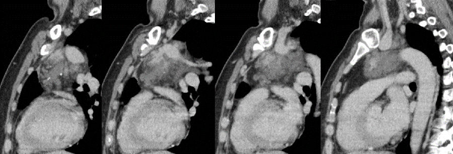
 病例提供 伍建林教授(大连大学附属中山医院) 简要病史 患者,女,45岁 主诉:胸前区疼痛、胸闷3年,加重半月余。 现病史:3年前患者无明显诱因出现间断性胸前区疼痛、胸闷,伴后背部疼痛,运动后上述症状加重,无呼吸困难,无头晕、头痛,于当地医院行冠脉造影示:冠状动脉粥样硬化,具体治疗不详,出院后自服硝酸甘油,上诉症状可缓解。半月前,患者上诉症状加重,于当地医院行胸部CT检查发现:左前上纵隔肿物,并于我院门诊以“纵隔肿物”收入院进一步诊治。病来无咀嚼无力,无气短,无咯血,无关节疼痛,无进行性消瘦,无恶心、呕吐、低热盗汗等。 既往史:胸背部脂肪瘤术后8年;高血压病史4年,自服药物治疗效果良好;否认其他病史。 一般查体与专科查体无明显异常。 影像资料






如需观看读片会现场完整视频,点击网站“对比剂学院”课件查看。
|