|
2014-09-06 崔湧 医学影像教育资讯
研究背景 肝转移癌是肝脏最常见的恶性肿瘤,系统化疗是主要治疗手段之一。目前作为临床评效依据的肿瘤大小变化经常滞后于功能变化。临床迫切需要一种早期评价方法,以及时指导调整治疗方案,降低无效治疗给患者带来的毒副反应和成本。磁共振扩散加权成像(Diffusion-WeightedImaging ,DWI)作为一种探测组织细胞密度的新技术近年来越来越受瞩目。动物模型和临床观察实验证实了DW-MRI 在预测化疗疗效方面的潜在价值。根据我们检索结果,目前在胃肠癌肝转移化疗早期,ADC值评价疗效的价值尚无报道。本研究拟通过观察化疗早期反应良好与反应不良的胃肠癌肝转移ADC 值变化的特点,探讨ADC 值预测和早期评价胃肠癌肝转移化疗疗效的可行性和潜在价值。
材料与方法 本研究草案获得本院伦理委员会批准,所有入组患者均签署知情同意书。患者在化疗前及化 疗开始第3、7 及42 天进行MRI 检查(图1-2)。应用GE MRI 扫描仪 ,8 通道相控阵体线圈进行常规T1WI,T2WI 及DWI 序列扫描。轴位DWI 应用屏气SS-EPI 序列:TR /TE,2,750ms/min;矩阵 128×90;层厚,6mm;层间距,1mm;视野,36-40 cm;采集次数,4。b 值0,800s/mm2。影像分析于AW4.2 工作站上进行,对于肝内多发转移灶的患者,仅评价最大5 个病灶。记录病灶大小及ADC 值, 正常肝实质ADC 值,计算ADC 值变化率。疗效评价以病灶为单位,参考RECIST 标准 [23],根据42 天化疗后病灶大小变化进行疗效评价。应用SPSS 11.5 统计软件包,应用混合线性模型进行数据分析。以p<0.05 作为统计学差异标准。 
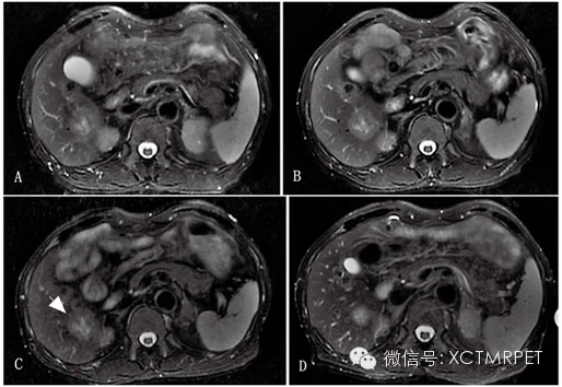
图 1 结肠癌肝转移患者,男性,64 岁(与图2 为同一患者)。A-D:分别为化疗前、化疗开始第3、7 及42 天连续T2WI 图像;显示肝右叶转移灶动态变化& #40; 白箭& #41;

图 2 结肠癌肝转移患者,男性,64 岁(与图1 为同一患者)。A-D:分别为化疗前、化疗开始3、7 及42 天连续b=800s/mm2 ADC 图像;显示肝右叶转移灶动态变化。
结果 根据病灶选择标准,共测量87 灶。38 个病灶反应好,49 个病灶反应不良。反应良好组与反应不良组疗前平均长径无显著性差异& #40;F=1.25, p=0.269& #41;。随化疗过程进行,两组大小的差异变为明显& #40;F=82.63, p<0.001& #41;。在化疗前,反应不良组病灶平均ADC 值明显高于反应良好组病灶(F=9.57, p=0.003)。化疗过程中,反应良好组平均ADC 值低于反应不良组& #40;F=16.08, p<0.001& #41;,在每个时间点,这种区别均有显著性意义& #40;F=28.75, p<0.001& #41;。并且两组ADC 值变化趋势明显不同& #40;F=9.52, p=0.002& #41;。在化疗开始后的早期(第3、7 天),反应良好组ADC 值较疗前明显升高,而反应不良组无此现象。两组病灶ADC 值变化率有明显差异(F=16.75, p<0.001)。化疗早期,反应良好组平均ADC 值变化率明显高于反应不良组病灶(3 天:25.4 % 比7.2%;7 天:26.2 % 比9.7%)。化疗前及化疗各时间点,肝脏实质ADC 值无明显变化(F=0.010, p=0.933)。
结论 对于胃肠癌肝转移,化疗前ADC 值较低的病灶以及化疗早期ADC 值升高幅度较大的病灶化疗反应性较好。DW-MRI 是一种具有预测和早期评价胃肠癌肝转移化疗疗效潜力的无创性监测手段。
|
共 4 个关于MR750学术集锦:ADC 值是一种有潜力的预测和早期评价肝转移化疗疗效指标,每天更新的回复 最后回复于 2021-03-18 11:34:02