|
该篇继续介绍下图界面参数,以及Graphic Rx Toolbar和Auto Voice界面。 
R/L A/P S/I Start End:扫描起始结束位置 R/L A/P S/I分别代表左右、前后、上下位置 Chem SAT:化学饱和 选择饱和脉冲:Fat 、 Fat Classic 、 SPECIAL、Water Fat:即化学饱和法抑脂,是临床中常用的抑脂方式,特异性好,信噪比高,应用广泛。 Fat Classic:化学饱和法抑脂,相比于Fat,抑脂程度轻,常用于关节。 SPECIAL:全称SPECtral Inversion At Lipids,先采用频率选择性的射频脉冲选择性反转脂肪氢质子,待脂肪T1弛豫回零点时采集,从而抑制脂肪信号。兼容LAVA、Vibrant、3D MERGE、Fiesta序列,部分版本还兼容FSE序列。 Water:化学饱和法抑水
SAT:I,S,a 饱和带显示 当选用了空间饱和带,此处才会显示出来。大写字母表示视野外饱和带,小写字母表示视野内饱和带。
Contrast:增强 增强序列勾选此项,系统便会提示需要注射对比剂并停止扫描,扫描序列会带有+C标识。勾选Contrast后,出现Agent和Amt选项,分别填写药物名称及用量,且必须填写用量。特别注意:3D ASL序列不可勾选此项,会导致后处理不兼容问题。 
# of Acqs:采集次数 当设置的扫描层数小于或等于扫描层数相同,一次采集,设置的扫描层数超过最大层数时,系统自动分多次采集,T2 Flair序列强制两次采集,加强对脑脊液抑制作用。
Rel.SNR& #40;%& #41;:相对信噪比 相对信噪比为我们在调整参数时提供一个信噪比变化的参考。此处不可将相对信噪比绝对化,并不是相对信噪比越高,图像越好,也没有一个所谓的阈值。当你调整完参数,相对信噪比数值发生变化,保存该序列,下次打开,依然变成100%了。
Pixel Size、BW/Pixel、Echo Spacing三个参数由于版本差异,有些设备没有,没有的也可以通过公式计算或界面其他参数得到。
Pixel Size:像素大小 像素计算公式:Freq FOV/Frequency(矩阵)x Phase FOV/Phase(矩阵),例如24x24的FOV,矩阵320x224,根据公式240/320 x 240/224,像素大小为0.8x1.1。
BW/Pixel:像素带宽 GE界面上通常给出的带宽Bandwidth,为半带宽,换算公式:像素带宽=半带宽x2 x1000/Frequency。
Echo Spacing:回波间隔  一般情况下回波间隔等于Minimum TE,当Advance选项卡CV中的Blurring Cancellation Option打开时,回波间隔约等于Minimum TE的2/3。下方空白方框处,一些界面的提示信息会在此处显示,比如当序列不让保存扫描时,一般会在此处弹出提示。最后一行为SAR特殊吸收率和db/dt梯度模式的显示。 下面介绍Graphic Rx Toolbar的使用,GRx工具条是定位过程中相对使用比较多 
1、SAT:饱和带  包括6个方向的饱和带,Thickness为饱和带宽度默认是40mm,可通过饱和带上小方块拖拉宽度大小或者直接在此处输入数值。Location为饱和带位置信息,只有视野内的饱和带才有位置信息,拖动饱和带边缘实线可移动位置,拖动圆点可打角度。视野外饱和带常用在TOF MRA避免静脉显影以完成动脉成像,另外可减少血管搏动伪影。视野内饱和带相当于挡板的作用,常用在脊柱矢状面成像,减少吞咽、呼吸、肠道蠕动等运动伪影,添加饱和带处图像根据CV选择的抑制程度。 
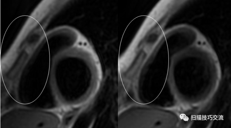
单击shim,在所需添加匀场的图像上点击即可添加,拖动匀场框边缘或中间实线可挪动位置,点击并拖动圆点可转动匀场角度。 根据需要调整局部匀场的大小,在三个方向可使用上下箭头或直接输入数字调整,若想添加正方形匀场,可勾选Symmetric Vol,则三个方向均统一为当前设置的最长长度。 若想要放置两个局部匀场框,在第一个匀场放置好之后,再次点击shim图标,按住shift键,单击鼠标左键,将匀场放置到相应位置。 在匀场放置好之后可点击Hide Shim将匀场框隐藏,以便调整定位线。 Localized TG是基于来自聚焦ROI 来改进预扫描的TG,用于提高特定区域TG的精确性,只适用于一个匀场框,常用于心脏扫描。 

左图,双翻转黑血,匀场未勾选Localized TG;右图,双翻转黑血,匀场勾选Localized TG。勾选之后改善了白圈处的阴影。
3、Radial:辐射状定位 在# of Slice文本框中,输入扫描层数,最大允许层面数36;在Partial Spacing文本框中,输入相邻层面间的角度数值;选择Clockwise(顺时针)或Counter Clockwise(逆时针)改变图像采集方向,系统默认顺时针。常用在2D MRCP或关节的扫描。 
使用该图标可将处方窗口中的默认图像更改至所选图像,从列表中选择需要的序列,单击OK会将所选序列放入当前图像窗口,单击OK ALL会将所选序列列入所有图像窗口,常用于选取三平面。
5、复制粘贴程序 使用该图标可复制粘贴程序,只要两个序列之间的扫描层面匹配,即可复制划线。单击该图标,选择需要复制的序列,勾选需要复制的参数,包括扫描范围、饱和带、局部匀场等,单击Accept。2D与3D序列的定位线只能复制扫描范围,modeFilter需选择相应的平面。
6、删除程序 选择需要删除的定位线、饱和带、局部匀场等,单击该图标即可删除该项。下拉三角还有Erase All和Erase SAT选项,当选择Erase All时一键删除所有,包括视野外的饱和带,从而造成图像的伪影(比如:TOF MRA,序列设置了视野外S方向的饱和带,以避免静脉的显影,当Erase All后,S饱和带被删除,动静脉都会显影),因此不推荐使用Erase All,当选择Erase SAT是,将删除所有饱和带,同样也包括视野外的饱和带,一样不推荐使用。 
7、报告光标程序
单击该图标,开启报告光标,所有图像视区都显示有黄色十字线光标,光标坐标和像素信号强度显示在各窗口右下角,再次单该图标,即可关闭报告光标。
8、放大、缩小图像 该图标可对图像进行放大缩小
9、下拉菜单中的隐藏选项 
下面介绍Auto Voice的应用 
|