|
|
胸骨旁左室长轴切面 
| 图像名称: | 胸骨旁左室长轴切面(二维) |
| 胸骨旁左室长轴切面(二维) |
| 胸骨旁左室长轴切面(二维) | | 介绍重点: | 长轴切面心肌收缩有力、二尖瓣前后叶呈镜向运动 |
| 室间隔回声中断,可见明显缺口,左室增大 |
| 左房、左室增大,室壁运动幅度降低;二尖瓣启闭受限; | | 临床用途: | 评估房室大小,心脏功能;(正常图像) |
| 室间隔缺损; |
| 左室收缩功能降低 |
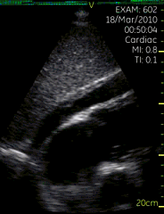
胸骨旁短轴切面 
| 图像名称: | 胸骨旁短轴切面(二维) |
| 胸骨旁短轴切面(二维) |
| 胸骨旁短轴切面 | | 介绍重点: | 短轴切面显示心肌向心性收缩运动 |
| 左室增大,室壁运动幅度降低; |
| 心包壁层脏层分离,右心室前方可见液性暗区 | | 临床用途: | 评估室壁厚度及运动;(正常图像) |
| 左室收缩功能降低 |
| 心包积液 |
心尖四腔切面 
| 图像名称: | 心尖四腔切面(二维) |
| 心尖四腔切面(二维) |
| 心尖四腔切面(彩色) | | 介绍重点: | 心脏各腔室大小正常、瓣膜运动协调; |
| 左房增大,二尖瓣启闭受限; |
| 左房增大,二尖瓣舒张期前向血流速度增快,收缩期可见蓝色反向血流; | | 临床用途: | 评估心脏各腔室大小,瓣膜结构与功能;(正常图像) |
| 风湿性心脏病:二尖瓣狭窄伴关闭不全; |
| 风湿性心脏病:二尖瓣狭窄伴关闭不全; |
心尖四腔切面
| 图像名称: | 心尖四腔切面(彩色) |
| 心尖四腔切面(彩色) | | 介绍重点: | 房室瓣彩色多普勒显示有心房到心室的单向红色血流 |
| 房室瓣口彩色多普勒显示收缩期有心室到心房的反向蓝色血流 | | 临床用途: | 瓣膜功能正常 |
| 二尖瓣关闭不全,三尖瓣关闭不全 |
心尖四腔切面
| 图像名称: | 心尖四腔切面(彩色) |
| 心尖四腔切面(彩色) | | 介绍重点: | 收缩期源于二尖瓣口的蓝色反流束 |
| 右房内偏向房间隔的的蓝色反流束 | | 临床用途: | 二尖瓣关闭不全 |
| 三尖瓣关闭不全 |
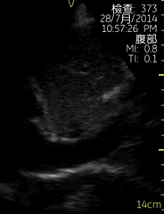
剑突下四腔切面 
| 图像名称: | 剑突下四腔切面(二维) |
| 剑突下四腔切面(二维) |
| 心尖四腔切面(二维) | | 介绍重点: | 心脏各腔室大小正常、瓣膜运动协调;心包壁层脏层未见分离; |
| 心包壁层脏层分离,右心房/室前方可见液性暗区 |
| 左房/右房明显增大,右房后方可见明显心包液性暗区 | | 临床用途: | 心脏结构功能正常 |
| 心包积液 |
| 心包积液 |
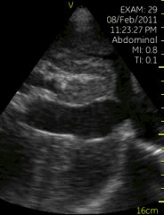
剑突下下腔静脉切面 
| 图像名称: | 剑突下下腔静脉切面(二维) |
| 剑突下下腔静脉切面(二维) | | 介绍重点: | 下腔静脉宽度正常 |
| 下腔静脉增宽 | | 临床用途: | 容量负荷正常 |
| 右心压力增高 |
|
|
共 3 个关于Vscan临床图片 心脏,每天更新的回复 最后回复于 2020-05-17 11:06:31